ブログ一覧|千葉県柏市で歯列矯正なら柏KT矯正歯科

日本矯正歯科学会 認定医

インビザライン 認定ドクター

マウスピース矯正

日曜日・土曜日も月2回休日診療

04-7192-8585

お問い合わせ・ご相談

柏KT矯正歯科のブログ

今年もよろしくお願いいたします!!

今年もよろしくお願いいたします!!

投稿日:2026年1月16日

カテゴリ:スタッフブログ

こんにちは! 柏KT矯正歯科です🎶 年末年始はゆっくりお過ごしいただけましたでしょうか? 矯正をしていると、おもちなども食べれないの?とご質問頂きますが、小さく切っていただき 硬いところは注意して噛んでい […]

続きを読む

マウスピース型矯正装置での矯正治療

マウスピース型矯正装置での矯正治療

投稿日:2025年12月18日

カテゴリ:未分類

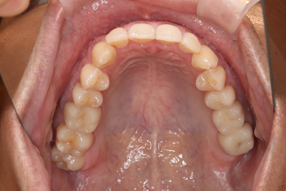
矯正治療前 矯正治療後 年齢・性別 30代 男性 矯正治療期間 3年 抜歯の有無 なし 治療費 1,050,000円(税込) リスク・注意点 歯の移動により痛みを伴うことがあります 口腔内に傷ができることがあります 患者 […]

続きを読む

年末年始休暇のお知らせ

年末年始休暇のお知らせ

投稿日:2025年11月26日

カテゴリ:スタッフブログ

こんにちは! 柏KT矯正歯科です。 今週で11月も終わり、来週からは12月になりますね! 先週の日曜日は、柏の葉マラソンがあり、家族で走りに行っていきました 終わってからの肉フェスも楽しかったです 体調管理に気をつけてマ […]

続きを読む

洗浄剤の取り扱いについて〜

洗浄剤の取り扱いについて〜

投稿日:2025年11月4日

カテゴリ:スタッフブログ

こんにちは! 柏KT矯正歯科です マウスピース矯正、小児矯正で装置を使っている方への洗浄液のおすすめです! 当院での取り扱いは、大きく分けて、泡タイプと錠剤タイプがございます   受付やチェアサイドにてご案内可 […]

続きを読む

11月27日 診療時間変更のお知らせ

11月27日 診療時間変更のお知らせ

投稿日:2025年10月5日

カテゴリ:スタッフブログ

こんにちは! 柏KT矯正歯科です。 木曜日は通常10時から13時、15時から19時までの診療となっておりますが、 11月27日(木)9時から12時、13時30分から15時までの診療、17時まで電話対応のみとなりますので、 […]

続きを読む

マウスピース矯正治療中の患者様へ〜バイトランプの噛み方

マウスピース矯正治療中の患者様へ〜バイトランプの噛み方

投稿日:2025年9月25日

カテゴリ:スタッフブログ

こんにちは!柏KT矯正歯科です。 9月も半ばすぎ、暑さも少しずつ落ち着き、寒暖差が出てきましたね! 体調を崩しやすい時期になりますので、ご自愛ください♩   今日はバイトランプについてのご説明です。 上のマウス […]

続きを読む

ワイヤー矯正中の食べ物について

ワイヤー矯正中の食べ物について

投稿日:2025年9月2日

カテゴリ:スタッフブログ

こんにちは、柏KT矯正歯科です!! 9月に入りましたが、まだまだ暑いですね! 矯正中に何を食べたら?何を食べてはいけないのかな?と気になる所だと思います♪   ★注意点★ ・痛みが強いときは、強く噛みしめなくて […]

続きを読む

柏KT矯正歯科がキレイレポに掲載されました

柏KT矯正歯科がキレイレポに掲載されました

投稿日:2025年8月27日

カテゴリ:お知らせ

この度、柏KT矯正歯科の店舗情報が美容医療(自由診療・審美歯科)のプラットフォーム キレイレポに掲載されました。

続きを読む

保定装置について

保定装置について

投稿日:2025年8月5日

カテゴリ:スタッフブログ

こんにちは! 柏KT矯正歯科です♪ 今回は保定装置についてのご案内です! 矯正終了後、すぐ矯正装置を外してしまうと、後戻りをおこしてしまいます。 当院では動的矯正期間が終了後、2年間の保定期間を設定しております。 ワイヤ […]

続きを読む

夏季休暇のお知らせ

夏季休暇のお知らせ

投稿日:2025年7月23日

カテゴリ:スタッフブログ

こんにちは! 柏KT矯正歯科です☀️ 今年は8月11日から8月16日まで夏季休暇となっております。 患者様にはご不便をお掛けいたしますが、よろしくお願いいたします。   柏KT矯正歯 […]

続きを読む

1 2 3 4 5 6 7 8 9 10 11 >

トップへ戻る