マウスピース型矯正装置での矯正治療
投稿日:2025年12月18日
カテゴリ:未分類
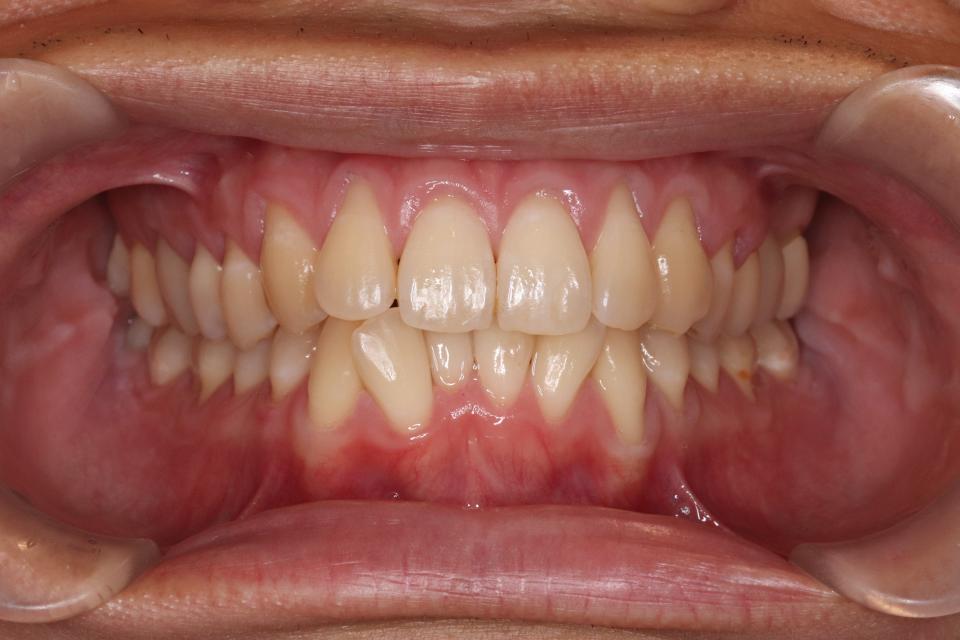
矯正治療前



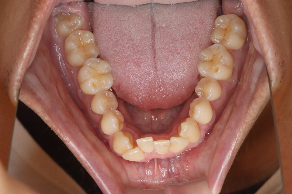
矯正治療後



| 年齢・性別 | 30代 男性 |
|---|---|
| 矯正治療期間 | 3年 |
| 抜歯の有無 | なし |
| 治療費 | 1,050,000円(税込) |
| リスク・注意点 |
歯の移動により痛みを伴うことがあります 口腔内に傷ができることがあります 患者さまの協力がないと、予定通りに治療を進めることができません。 保定をしないと後戻りの可能性があります。 |
| 備考 | 患者さまの協力によりスムーズに治療を進める事ができました。 |
下の前歯のガタガタが気になって来院なさいました。
治療により下の歯並びがV字型でしたがきれいなU字型になり、歯肉退縮も改善しました。
バランスよく全部の歯に力がかかるようになり、よく噛めるようになったそうです。
引き続きリテーナーの使用していただき、定期的にチェックしていきます。
■ 他の記事を読む■



