上顎前突(出っ歯)のマウスピース型矯正治療例
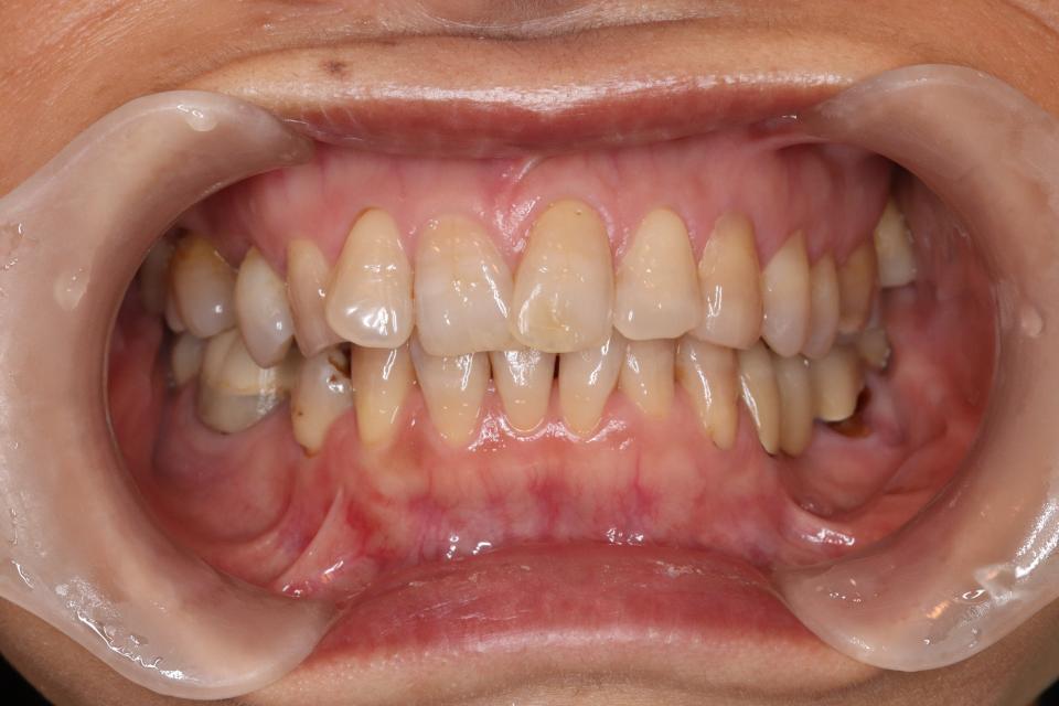
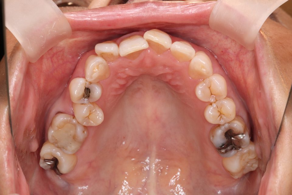
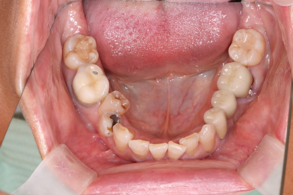
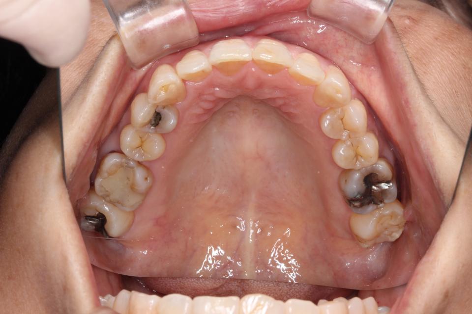
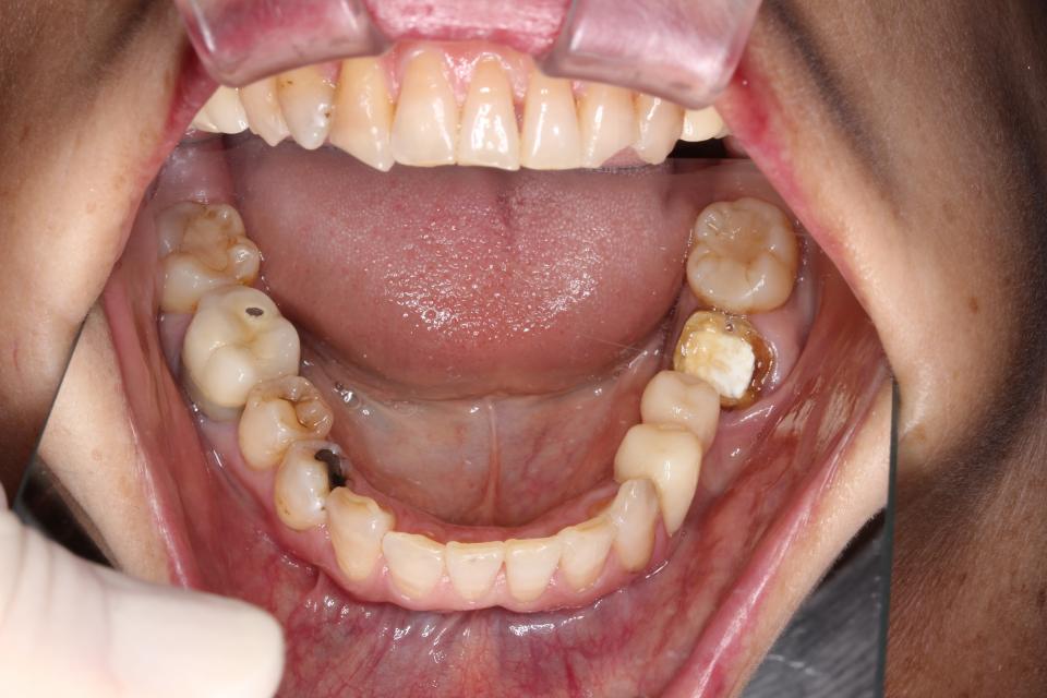
矯正治療前



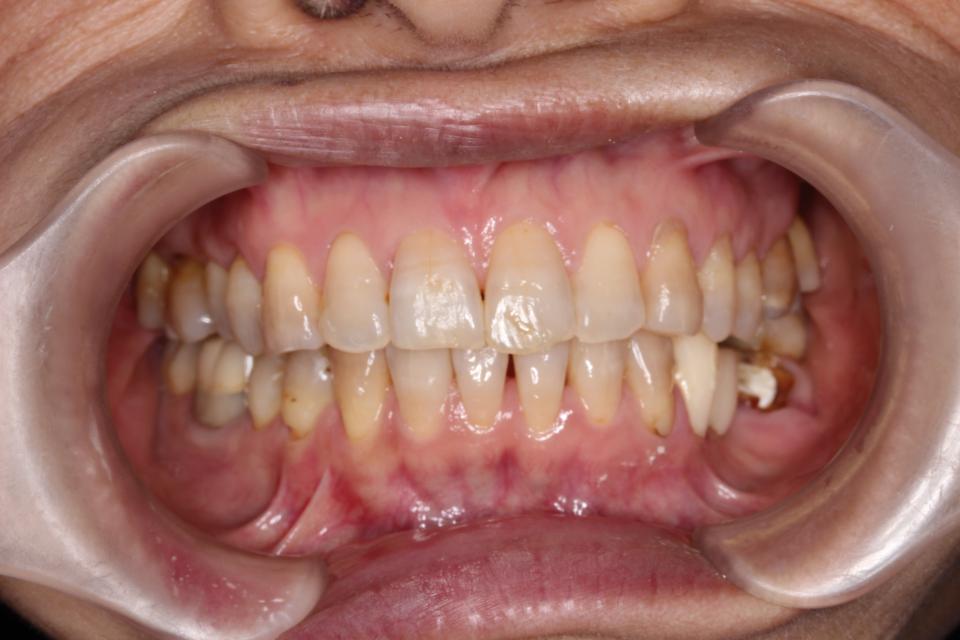
矯正治療後



50代女性の患者さんです。
歯並びのガタガタが気になり矯正治療を始めました。
マウスピース型の矯正治療装置を使用し、歯のやすり掛け(IPR)を行いました。
今後は左下にインプラントをする予定です。
現在はマウスピース型のリテーナーで後戻りの防止をして
| 年齢・性別 | 50代女性 |
|---|---|
| 矯正治療期間 | 2年1か月 |
| 抜歯の有無 | なし |
| 治療費 | 1005000円 |
| リスク・注意点 |
歯の移動に伴い痛みを感じる場合がある 治療後保定装置を使わないと後戻りを生じる |
| 備考 |
(640)



