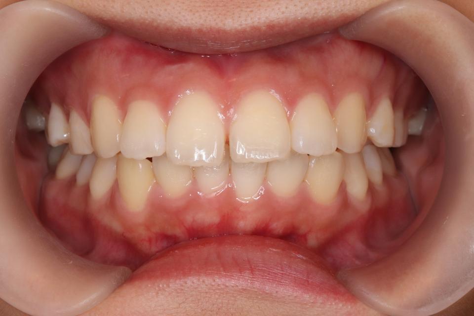
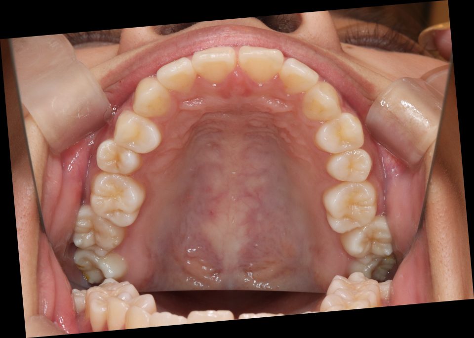
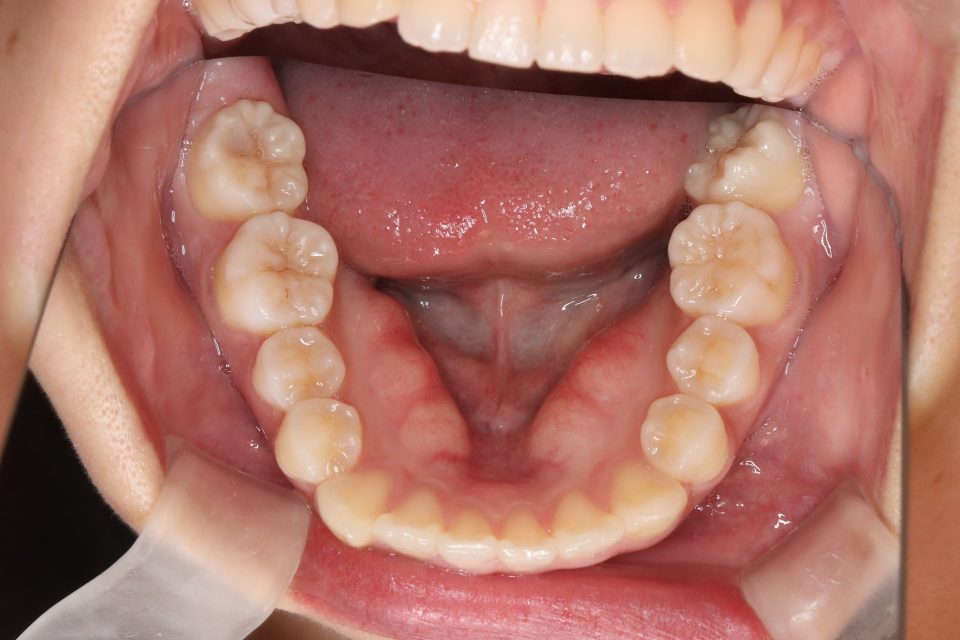
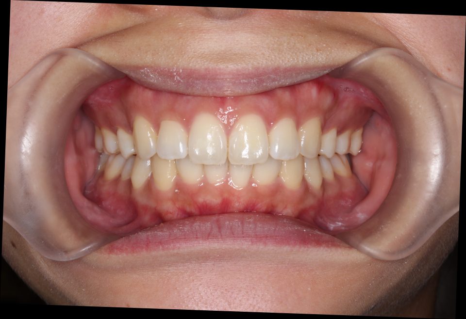
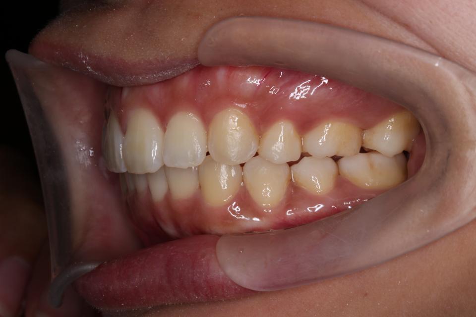
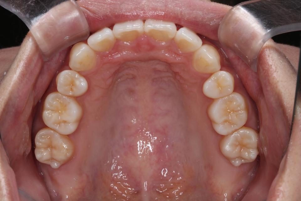
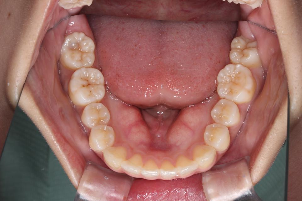
出っ歯(上顎前突)の矯正治療例




矯正治療後




20代女性の患者さんです。
口元が出ていることが気になり矯正治療を始めました。
歯を並べなおすためのスペースを確保するために、上の2本の歯と、下の親知らずを抜歯し、マウスピース型の矯正治療装置を使用して、上顎前突の改善を行いました。
| 年齢・性別 | 20代、女性 |
|---|---|
| 矯正治療期間 | 2年3か月・17回(保定装置装着まで※保定観察を除きます) |
| 抜歯の有無 |
上左右4番、下左右8番 |
| 治療費 | 1,160,000円(検査/診断/施術料・保定装置代を含む※保定期間中は保定観察料金が別途必要です(3000円/回) ) |
| リスク・注意点 |
歯の移動に伴い痛みを感じる場合がある 治療後保定装置を使わないと後戻りを生じる |
| 備考 |
(399)



