上顎前突、叢生の治療例|千葉県柏市で歯列矯正なら柏KT矯正歯科

日本矯正歯科学会 認定医

インビザライン 認定ドクター

マウスピース矯正

日曜日・土曜日も月2回休日診療

04-7192-8585

お問い合わせ・ご相談

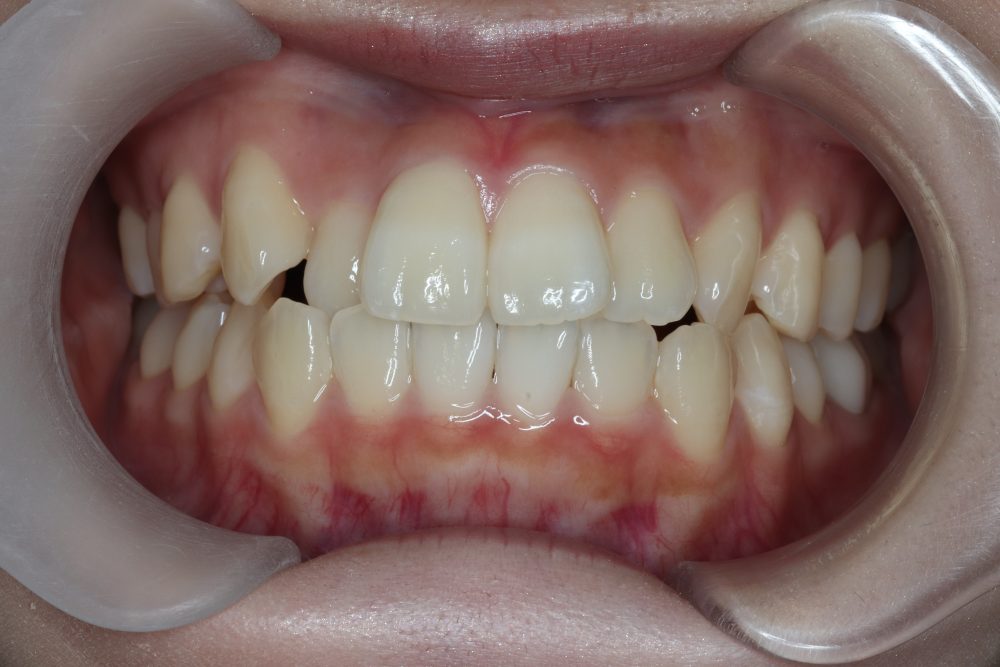
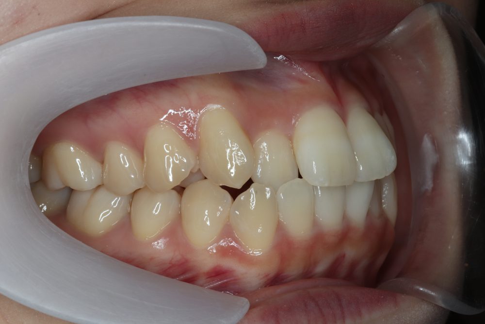
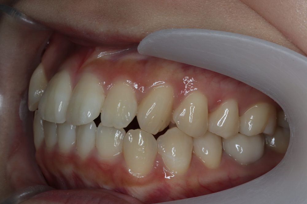
上顎前突、叢生の治療例

矯正治療前

矯正治療後

年齢・性別 20代女性
矯正治療期間 2年10か月
抜歯の有無 なし
治療費 97,7500
リスク・注意点 治療後保定装置を使用しないと後戻りの恐れがあります
備考

トップへ戻る