部分矯正症例(前歯のデコボコの矯正治療)
矯正治療前



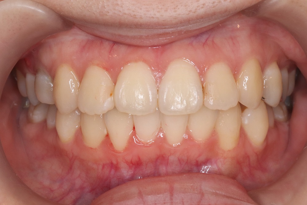
矯正治療後



| 年齢・性別 | 20代・女性 |
|---|---|
| 矯正治療期間 | 1年5か月(通院回数:12回) |
| 抜歯の有無 | なし |
| 治療費 | 440,000円(検査料、装置料、施術料込み)(税込み) |
| リスク・注意点 |
歯が動いていることによる痛みを感じる場合があります 治療後正しく保定装置を使用しないと歯並びが元に戻ってしまう可能性があります |
| 備考 | 部分矯正 |
下の前歯の凸凹を気にして来院されました。
部分的な矯正治療を希望され、
奥歯のかみ合わせにも大きな問題がなかったため
上下の歯にワイヤー(マルチブラケット装置)をつけて治療しました。
きれいに並びきるために歯のやすりがけ(IPR)も行っています。
歯並びを並べる治療は終わり
現在は前歯の裏側にワイヤーをつけ、それと同時に
取り外しのできる装置をはめることで後戻りの防止をして
定期的にチェックをしています。

取り外し可能な保定装置
(サーカムリテーナー)



