上の前歯の部分的なワイヤー治療
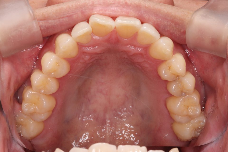
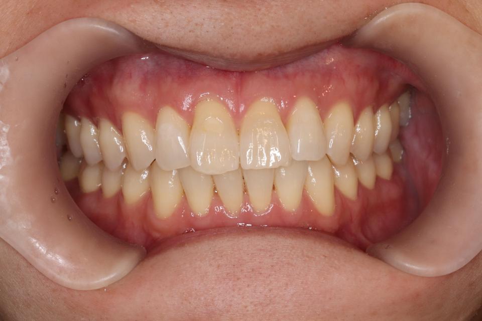
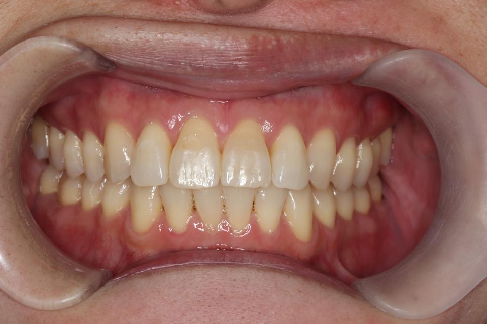
矯正治療前



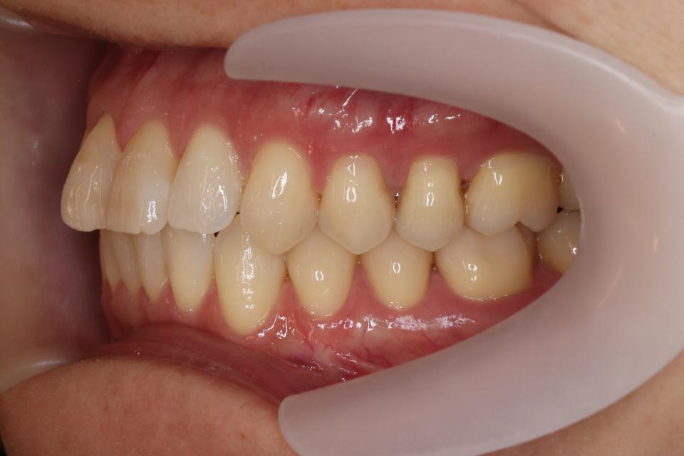
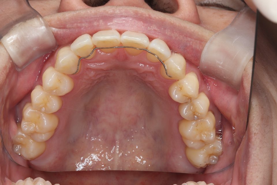
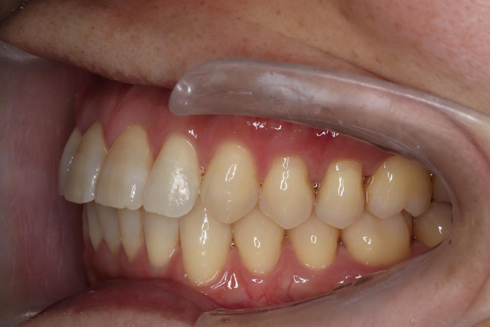
矯正治療後



40代男性の患者様です。
右上の前歯のねじれが気になるとのことで来院されました。
下の前歯は特に気にならないとのことでしたのでご相談し、上の前歯のみのワイヤー治療を行いました。
気になっていた前歯のねじれも改善し現在は歯の裏にワイヤーをつけ保定を行い経過を観察しています。
| 年齢・性別 | 40代男性 |
|---|---|
| 矯正治療期間 | 11か月 |
| 抜歯の有無 | なし |
| 治療費 | 335,000円 |
| リスク・注意点 |
治療中歯の動きによりお痛みを生じることがあります 治療後保定装置を使用しないと歯並びが元に戻ってしまう可能性があります |
|
備考 |
(492)



