マウスピース型矯正装置での全顎矯正治療
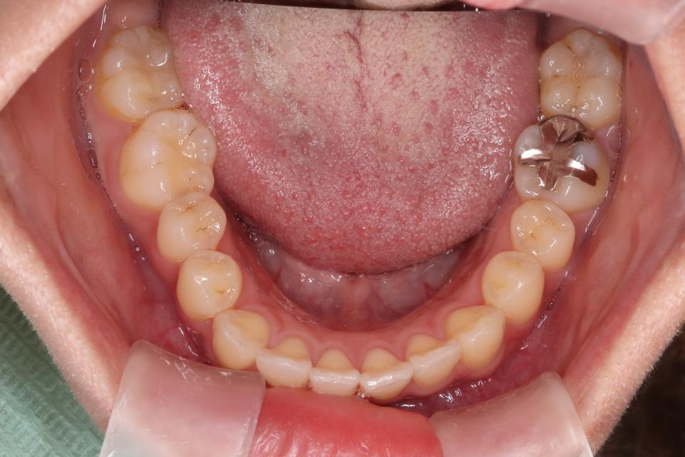
矯正治療前



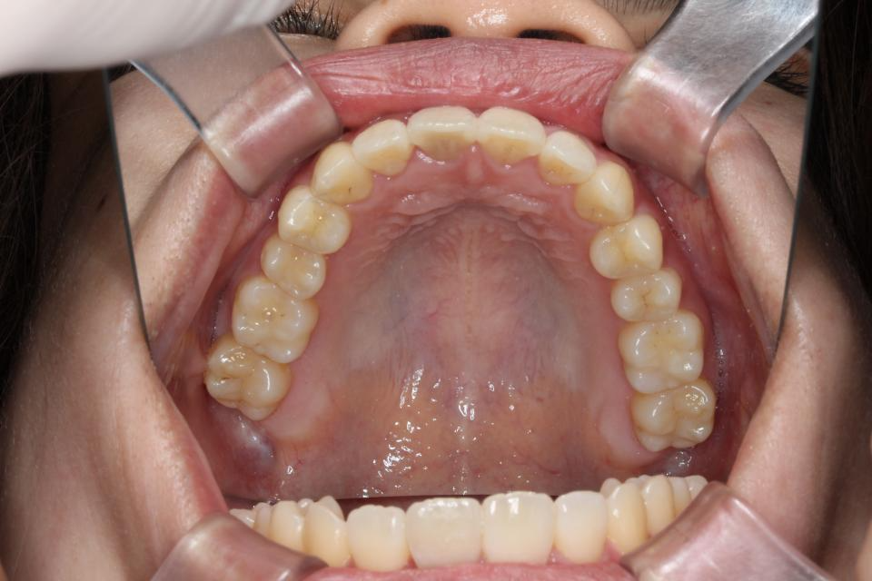
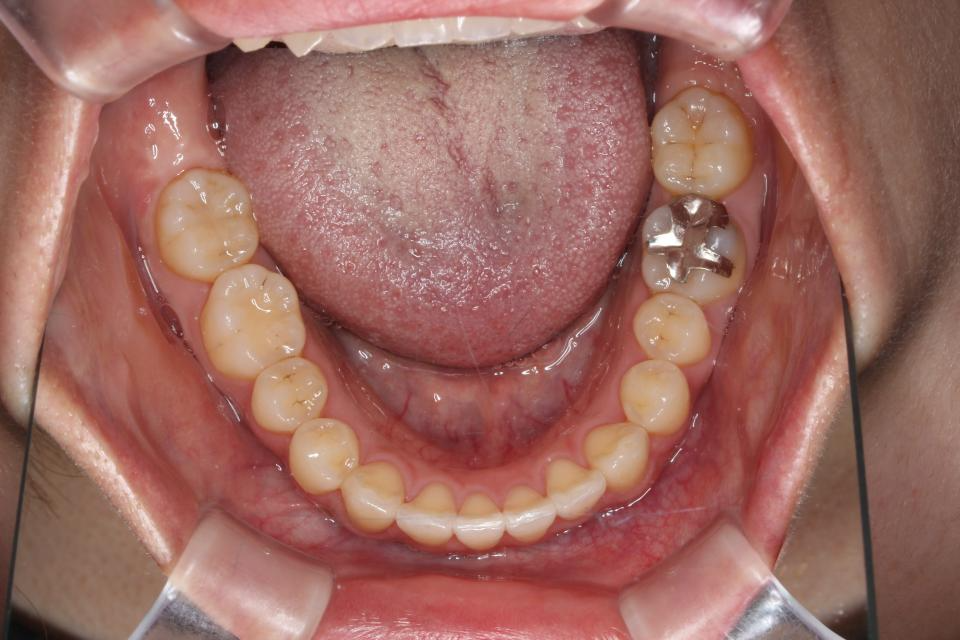
矯正治療後



前歯が出ているのと隙間が気になる、と当院に来院されました。
目立たない装置・取り外し可能なマウスピースタイプでの矯正治療を
希望されてましたので親知らずを4本抜歯して、歯のやすりがけ(IPR)をし、マウスピース型矯正装置(インビザライン)で矯正治療を行いました。
現在は歯を動かす治療は終了し、マウスピース型のリテーナーをつけて
定期的にチェックしています。
| 年齢・性別 | 20代女性 |
|---|---|
| 矯正治療期間 | 2年3か月 |
| 抜歯の有無 | 上下左右親知らず抜歯 |
| 治療費 | 1005000円 |
| リスク・注意点 |
歯の移動に伴い痛みを感じる場合がある 治療後保定装置を使わないと後戻りを生じる
|
| 備考 |
(520)



