上顎前突(出っ歯)のマウスピース型矯正治療例(抜歯あり)
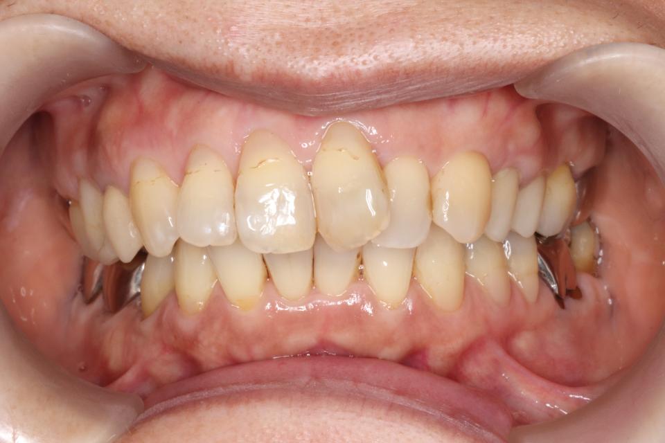
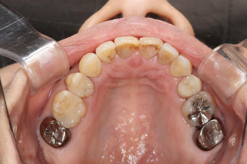
矯正治療前



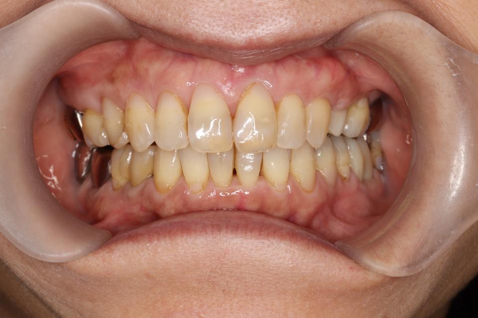
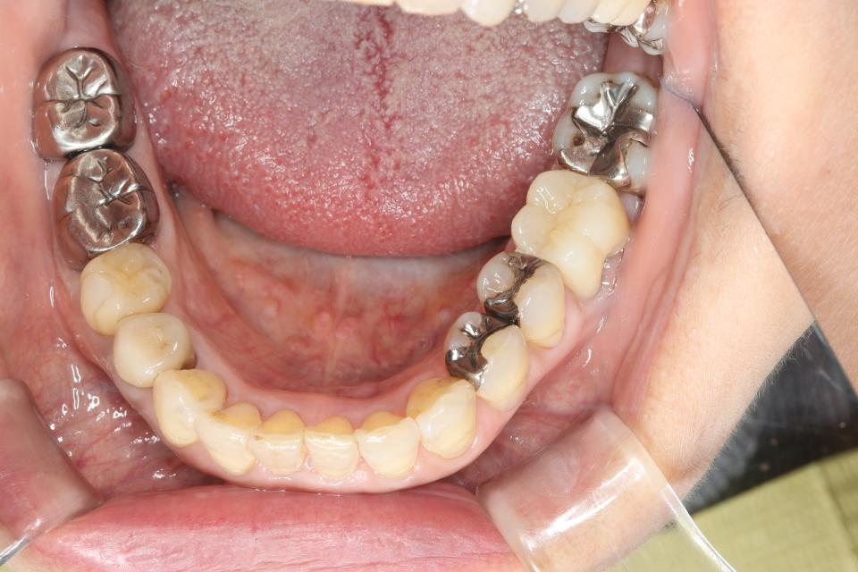
矯正治療後



50代女性の患者さんです。
上の前歯が重なっていて、出ていることが気になり矯正治療を始めました。
上左右4番の抜歯をして、マウスピース型の矯正治療装置を使用し、歯のやすり掛け(IPR)を行いました。
現在はマウスピース型のリテーナーで後戻りの防止をして定期的にチェックをしています。
| 年齢・性別 | 50代女性 |
|---|---|
| 矯正治療期間 | 約4年 |
| 抜歯の有無 | 上左右4番抜歯 |
| 治療費 | 1000000円 |
| リスク・注意点 |
歯の移動に伴い痛みを感じる場合がある 治療後保定装置を使わないと後戻りを生じる |
| 備考 |
(205)



