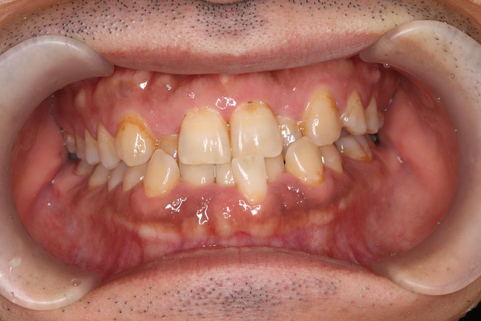
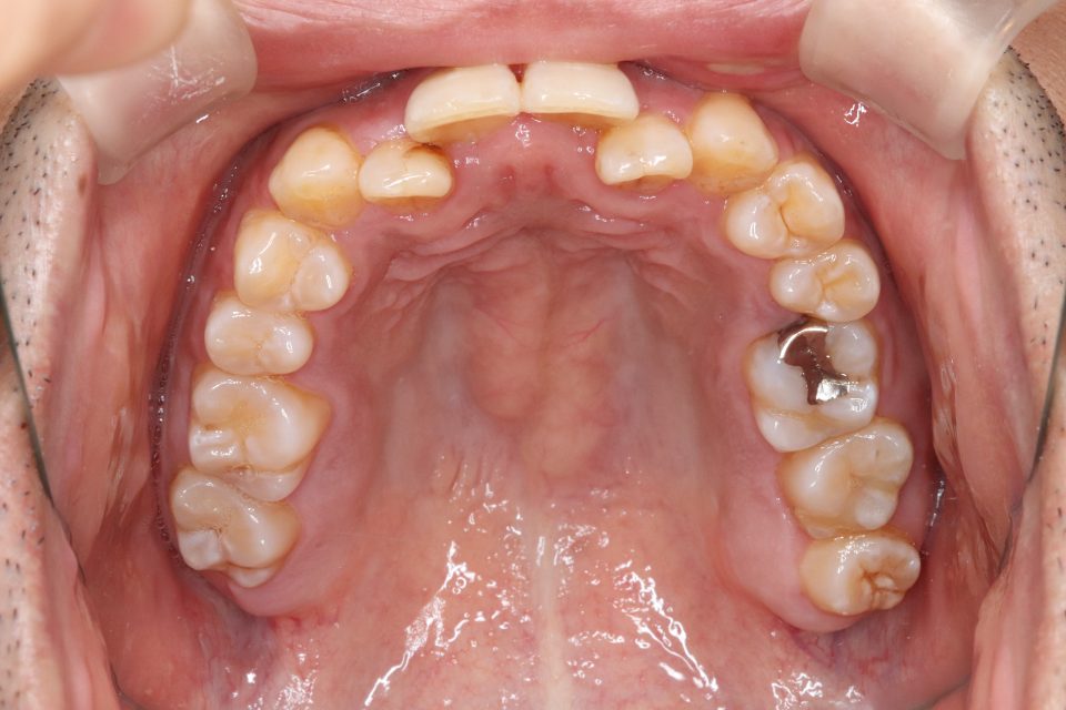
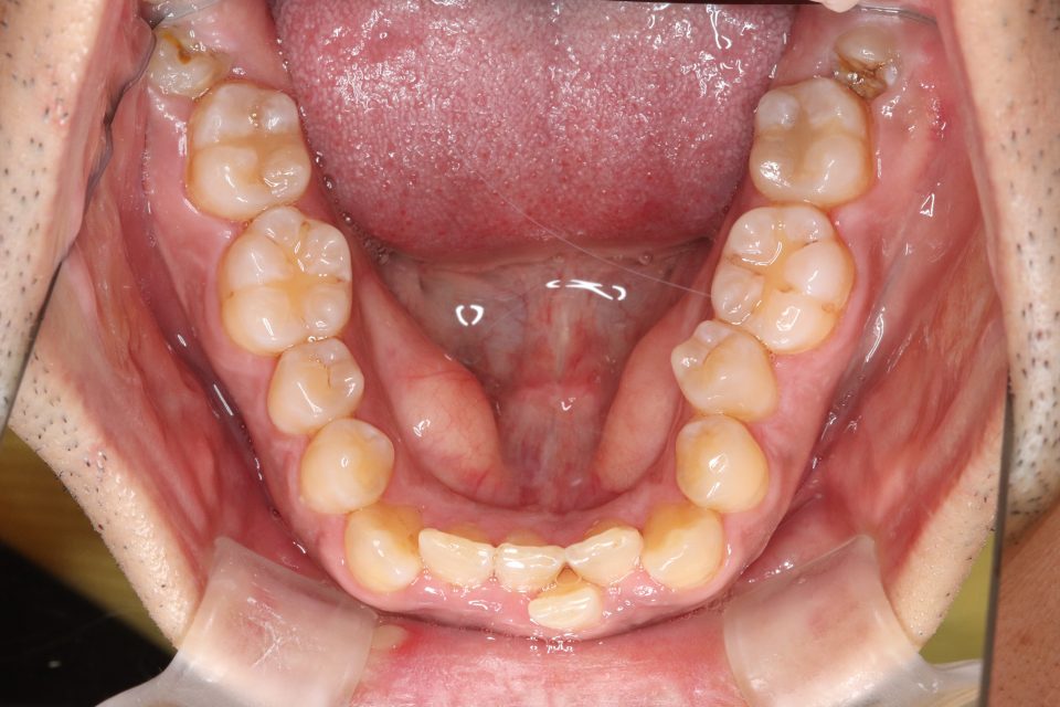
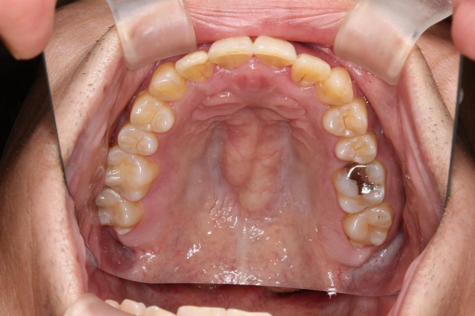
叢生(がたがた)のマウスピース型矯正治療例
矯正治療前



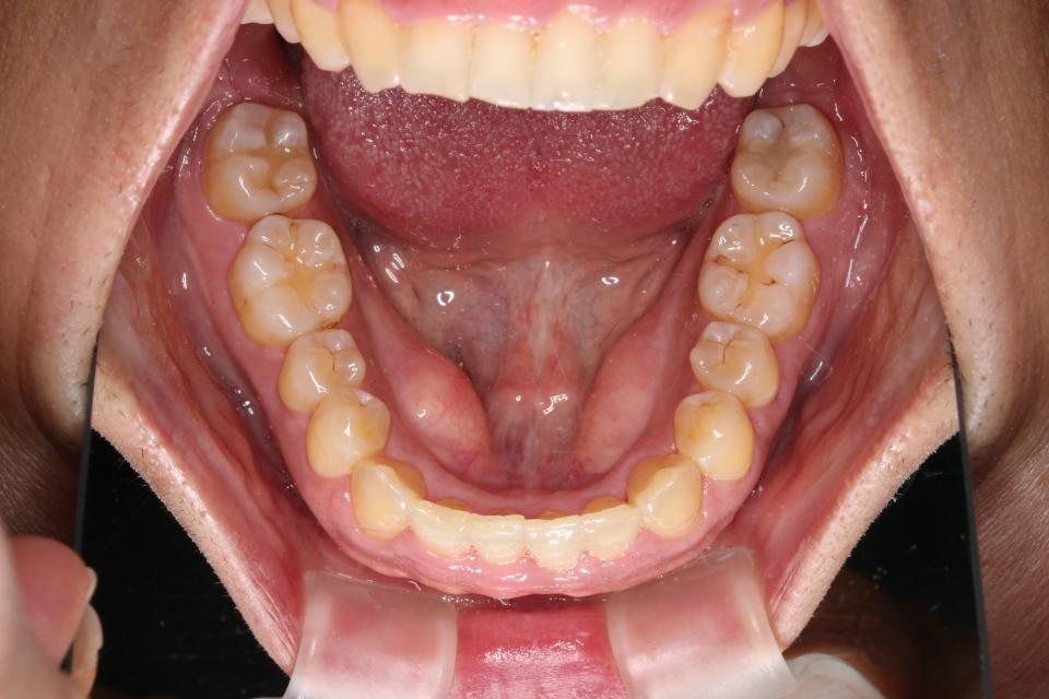
矯正治療後



30代男性です。
歯の凸凹が気になると来院されました。
目立たない装置・取り外し可能なマウスピースタイプでの矯正治療を
希望されてましたのでマウスピース型矯正装置(インビザライン)で矯正治療を行いました。
親知らずを3本抜歯して、歯のやすりがけ(IPR)を行っています。
| 年齢・性別 | 30代男性 |
|---|---|
| 矯正治療期間 | 2年8か月 |
| 抜歯の有無 | 3本親知らず抜歯 |
| 治療費 | 1005000円 |
| リスク・注意点 |
歯の移動に伴い痛みを感じる場合がある 治療後保定装置を使わないと後戻りを生じる |
| 備考 |
(494)



