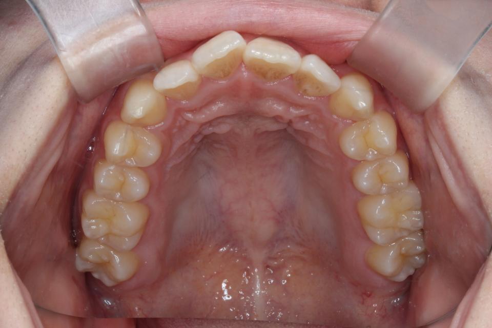
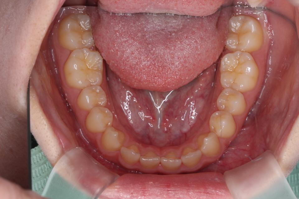
がたがた(叢生)のワイヤー矯正治療例
矯正治療前



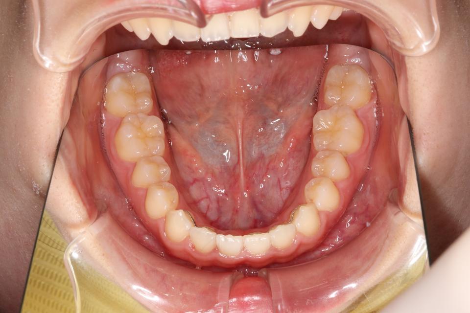
矯正治療後



20代女性の患者さんです。
上下の真ん中がズレているを気にして来院されました。
上下の歯にワイヤー(マルチブラケット装置)をつけて治療しました。
きれいに並びきるために歯のやすりがけ(IPR)も行っています。
歯並びを並べる治療は終わり、
取り外しのできる装置をはめることで後戻りの防止をして
定期的にチェックをしています。
| 年齢・性別 | 20代女性 |
|---|---|
| 矯正治療期間 | 11か月・16回(保定装置装着まで※保定観察を除きます) |
| 抜歯の有無 | なし |
| 治療費 | 1055000円(検査/診断/施術料・保定装置代を含む※保定期間中は保定観察料金が別途必要です(3000円/回) ) |
| リスク・注意点 |
歯の移動に伴い痛みを感じる場合がある 治療後保定装置を使わないと後戻りを生じる |
| 備考 |
(937)



