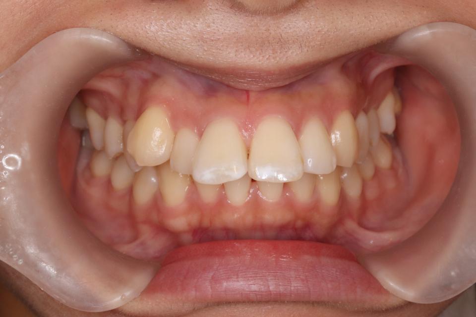
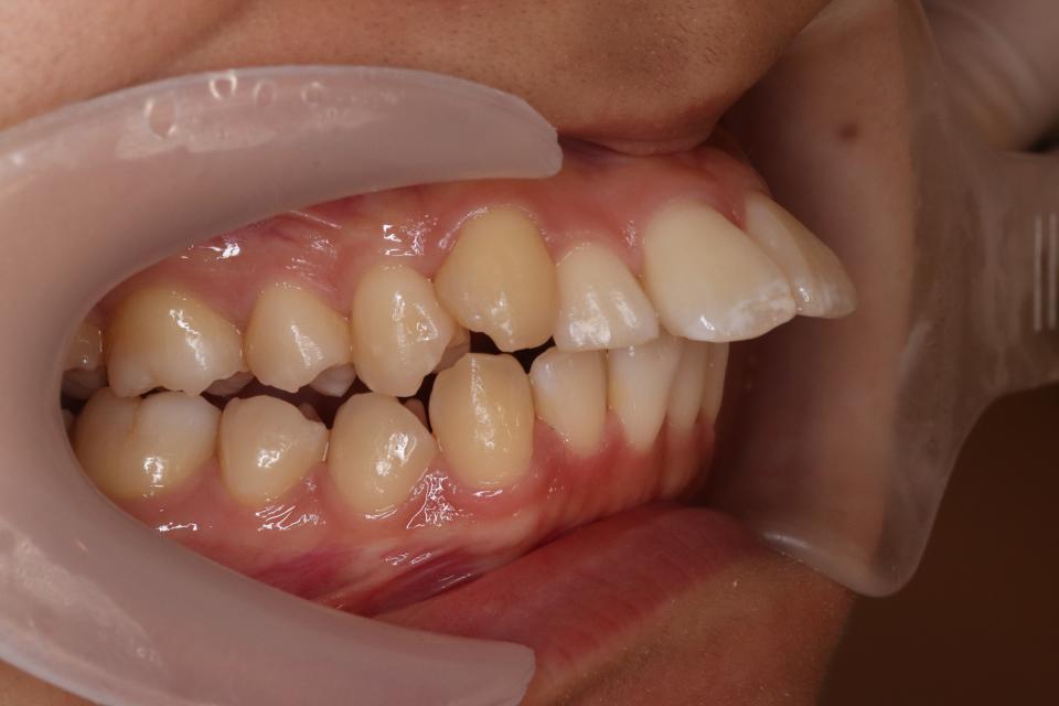
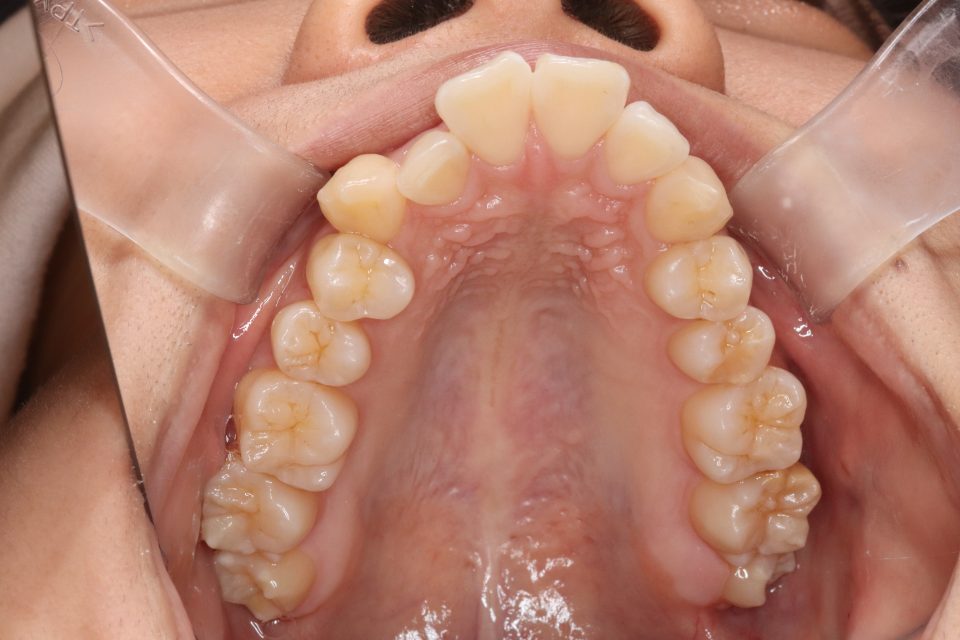
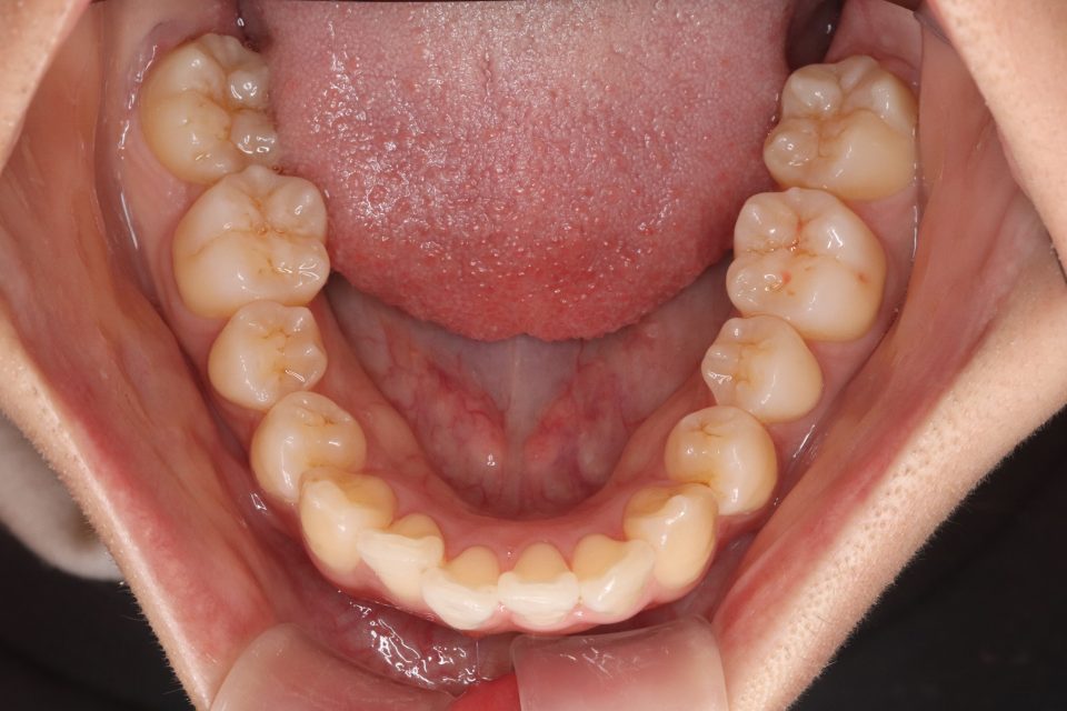
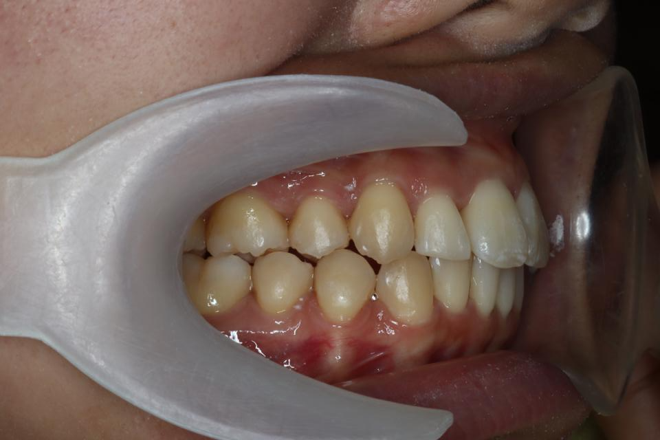
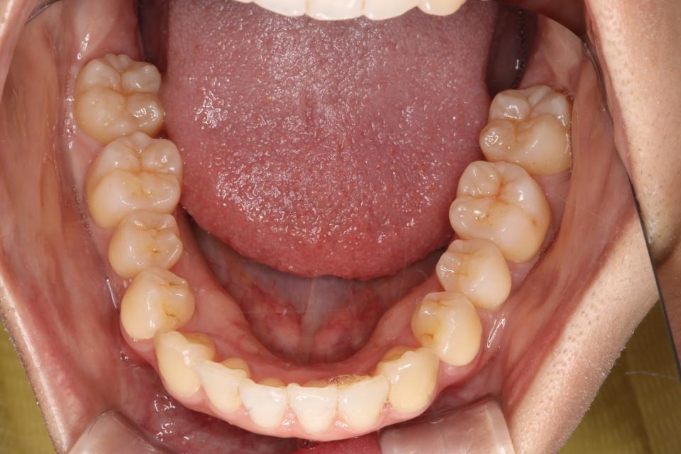
上顎前突(出っ歯)のマウスピース型矯正治療例(抜歯あり)
矯正治療前




矯正治療後




20代女性の患者さんです。
出っ歯が気になり矯正治療を始めました。
上左右4番目の抜歯をして、マウスピース型の矯正治療装置を使用し、歯のやすり掛け(IPR)を行いました。
現在はマウスピース型のリテーナーで後戻りの防止をして定期的にチェックをしています。
| 年齢・性別 | 20代女性 |
|---|---|
| 矯正治療期間 |
3年4か月・24回(保定装置装着まで※保定観察を除きます) |
| 抜歯の有無 | 上左右4番、下左右8番 |
| 治療費 | 1035000円(検査/診断/施術料・保定装置代を含む※保定期間中は保定観察料金が別途必要です(3000円/回) ) |
| リスク・注意点 |
歯の移動に伴い痛みを感じる場合がある 治療後保定装置を使わないと後戻りを生じる |
| 備考 |
(528)



