がたがた(叢生)のマウスピース矯正治療例
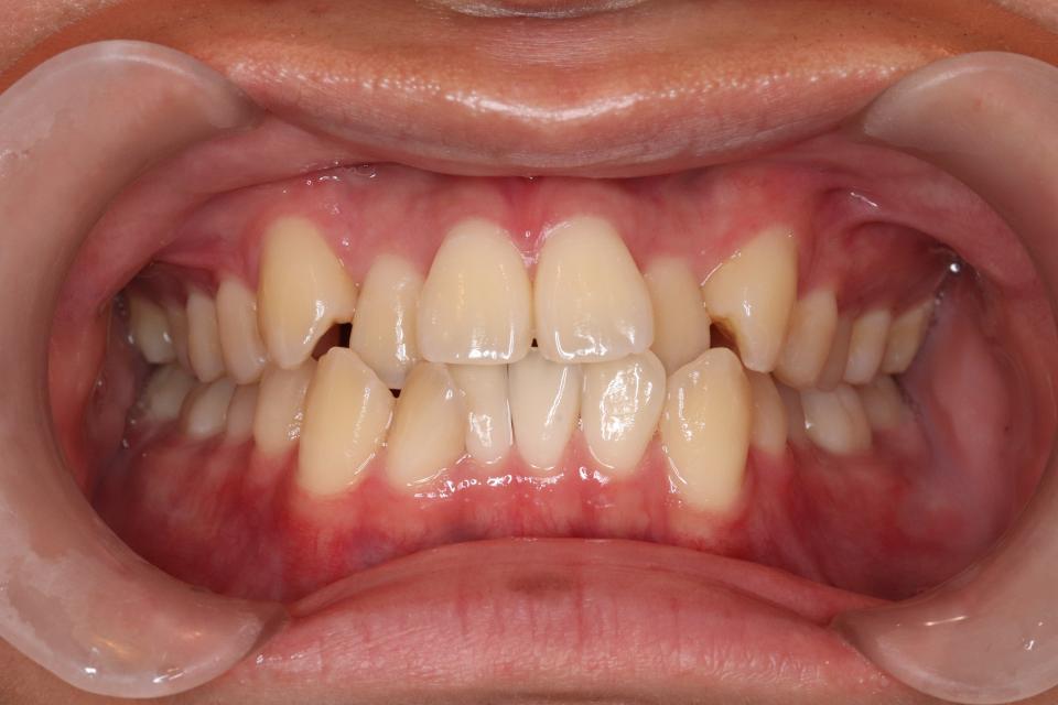
矯正治療前



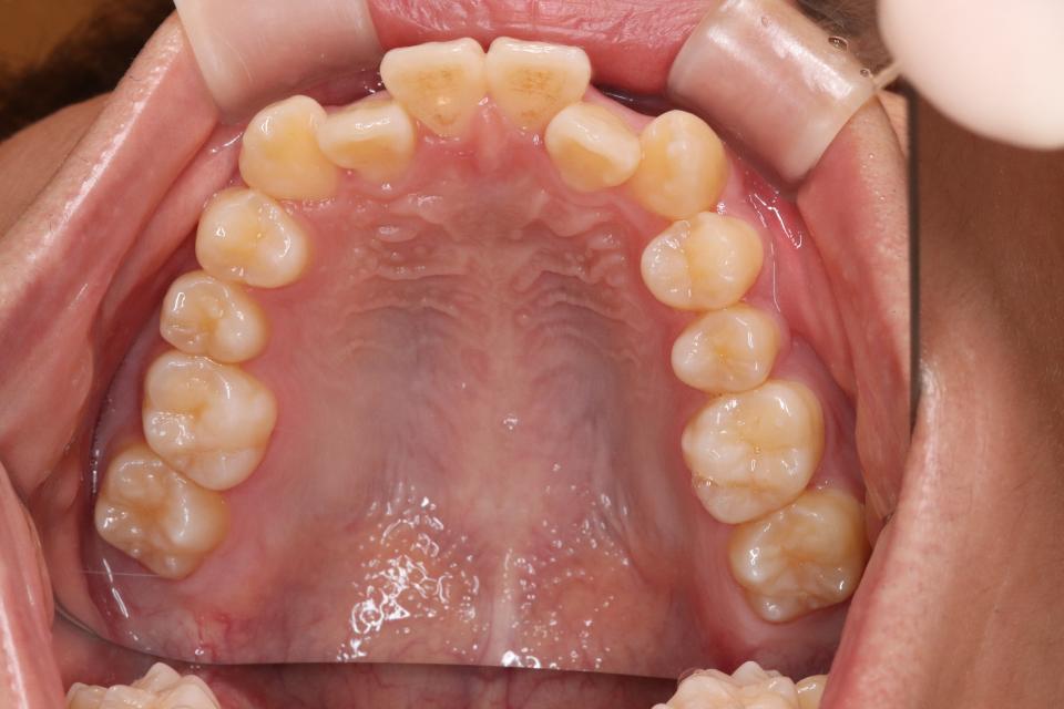
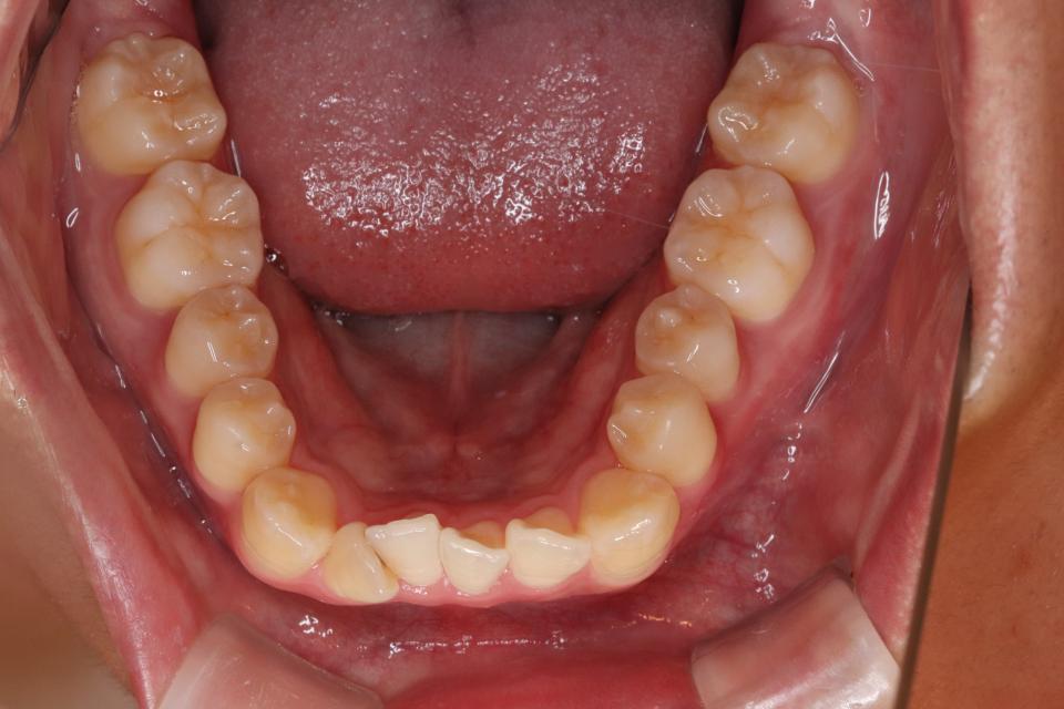
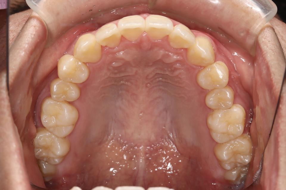
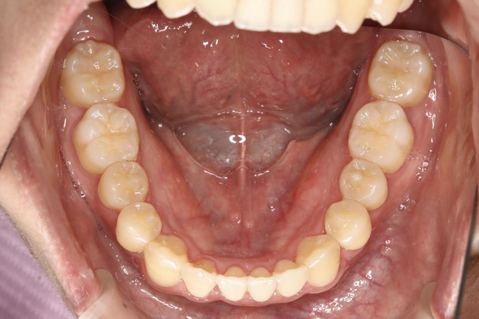
矯正治療後



10代男性の患者さんです。
歯並びのでこぼこが気になり矯正治療を始めました。
下左右の親知らずを抜歯して、マウスピース型の矯正治療装置を使用し、歯のやすり掛け(IPR)を行いました。
現在はマウスピース型のリテーナーで後戻りの防止をして定期的にチェックをしています。
| 年齢・性別 | 10代男性 |
|---|---|
| 矯正治療期間 | 2年7か月 |
| 抜歯の有無 | 下左右親知らず |
| 治療費 | 1005000円(検査/診断/施術料) |
| リスク・注意点 |
歯の移動に伴い痛みを感じる場合がある 治療後保定装置を使わないと後戻りを生じる |
| 備考 |
(638)



