がたがた(叢生)の部分的なワイヤー矯正治療例
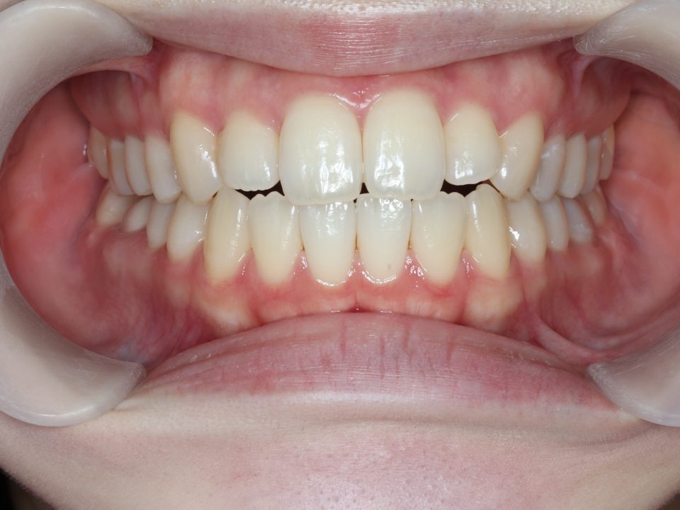
矯正治療前



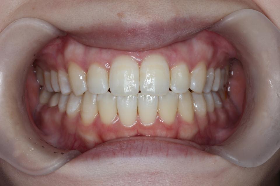
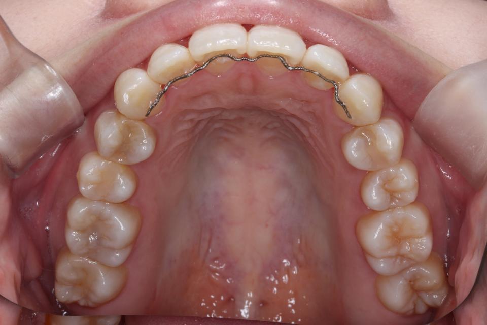
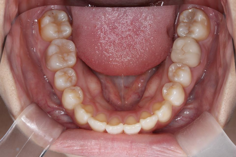
矯正治療後



20代女性の患者さんです。
上左右2番目の歯が噛んでいないことを気にして来院されました。
上下の歯にワイヤー(マルチブラケット装置)をつけて部分的に治療しました。
きれいに並びきるために歯のやすりがけ(IPR)も行っています。
歯並びを並べる治療は終わり、現在は前歯の裏側にワイヤーをつけ、それと同時に
取り外しのできる装置をはめることで後戻りの防止をして、
| 年齢・性別 | 20代女性 |
|---|---|
| 矯正治療期間 | 7か月 |
| 抜歯の有無 | なし |
| 治療費 | 317500円(検査/診断/治療費含む) |
| リスク・注意点 |
歯の移動に伴い痛みを感じる場合がある 治療後保定装置を使わないと後戻りを生じる |
| 備考 |
(695)



