歯がもともと少ない先天性欠損のマウスピース型矯正治療例
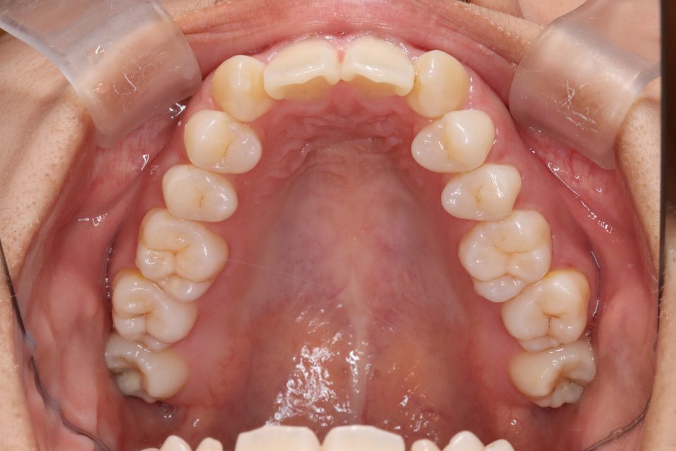
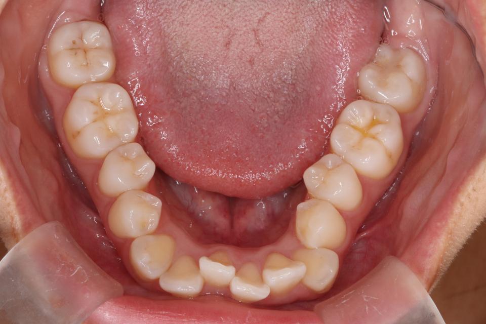
矯正治療前



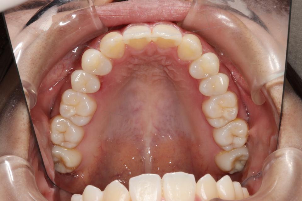
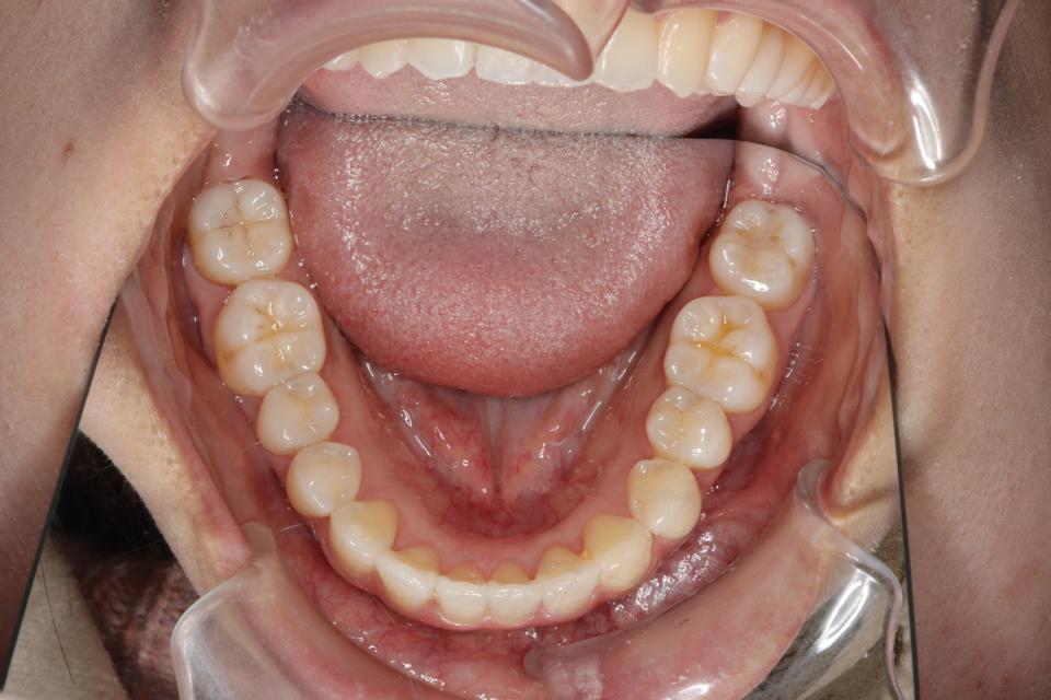
矯正治療後



30代女性の患者さんです。
かみ合わせが悪いことが気になり矯正治療を始めました。
上の左右2番目の歯がもともとありません。下の左右の親知らずを抜歯して、マウスピース型の矯正治療装置を使用し、歯のやすり掛け(IPR)を行いました。
現在はマウスピース型のリテーナーで後戻りの防止をして定期的にチェックをしています。
| 年齢・性別 | 30代女性 |
|---|---|
| 矯正治療期間 | 2年11か月・18回(保定装置装着まで※保定観察を除きます) |
| 抜歯の有無 | 下左右親知らず |
| 治療費 | 1055000円(検査/診断/施術料・保定装置代を含む※保定期間中は保定観察料金が別途必要です(3000円/回) ) |
| リスク・注意点 |
歯の移動に伴い痛みを感じる場合がある 治療後保定装置を使わないと後戻りを生じる |
| 備考 |
(482)



