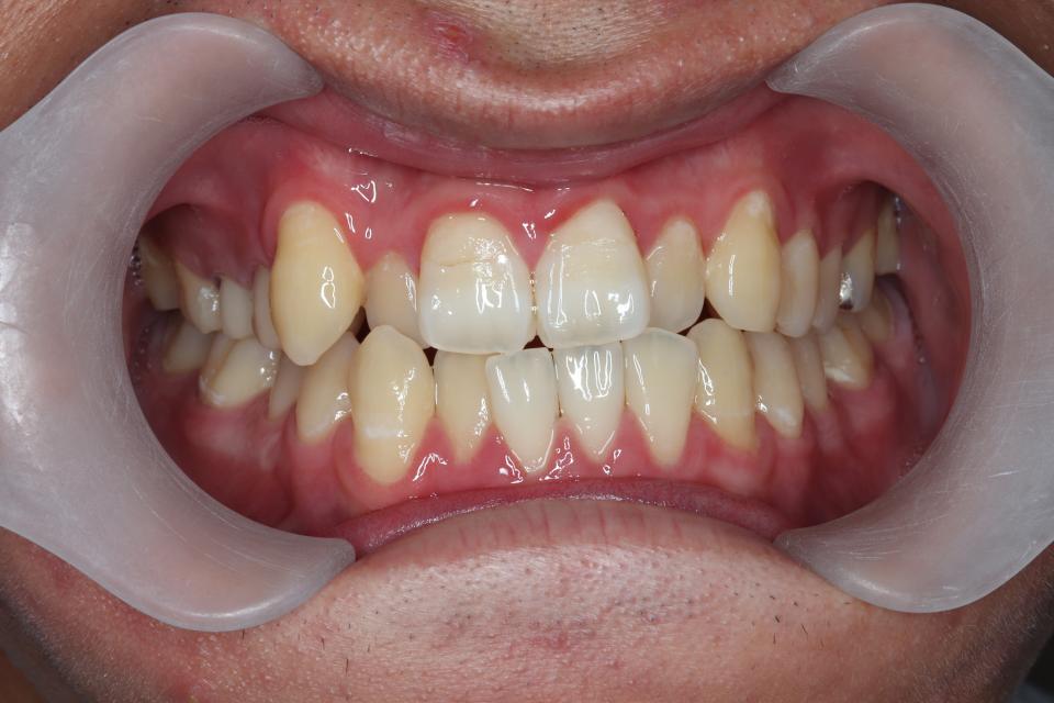
がたがた(叢生)のワイヤー矯正治療例
矯正治療前



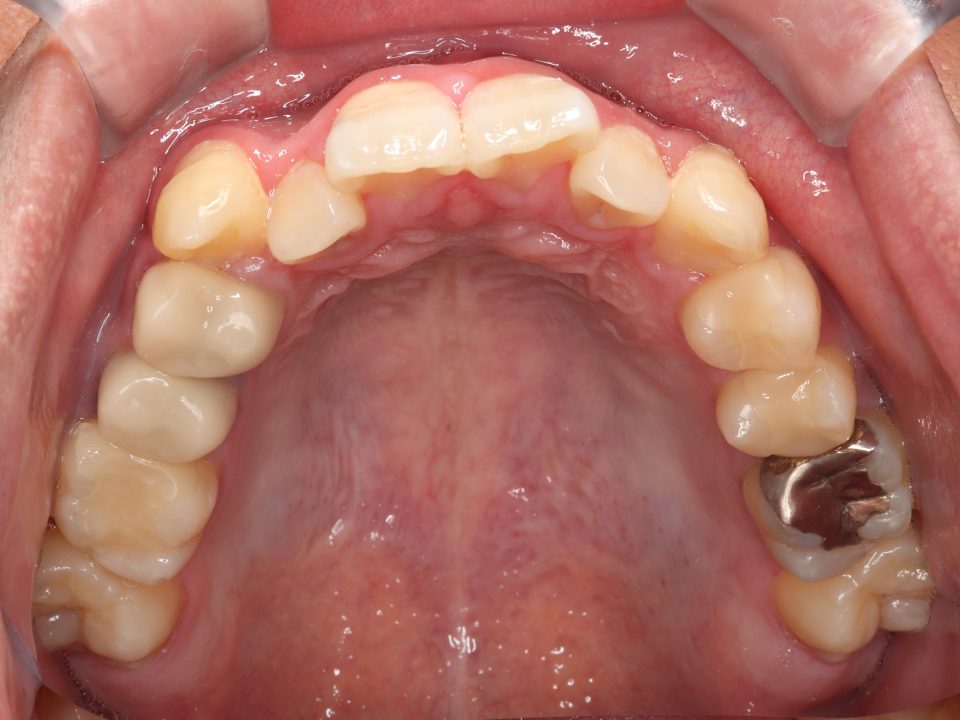
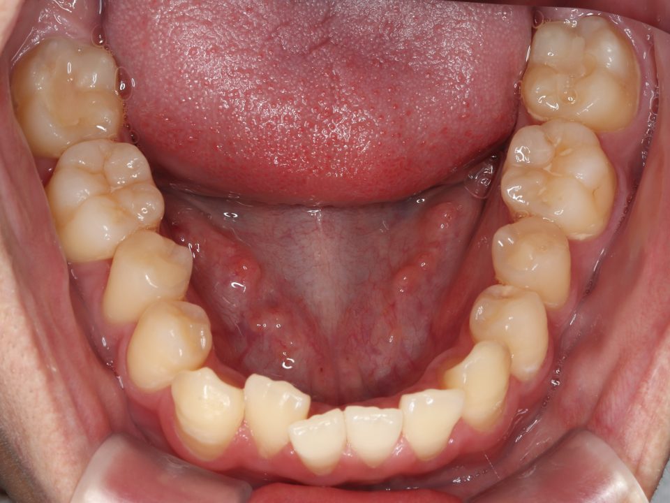
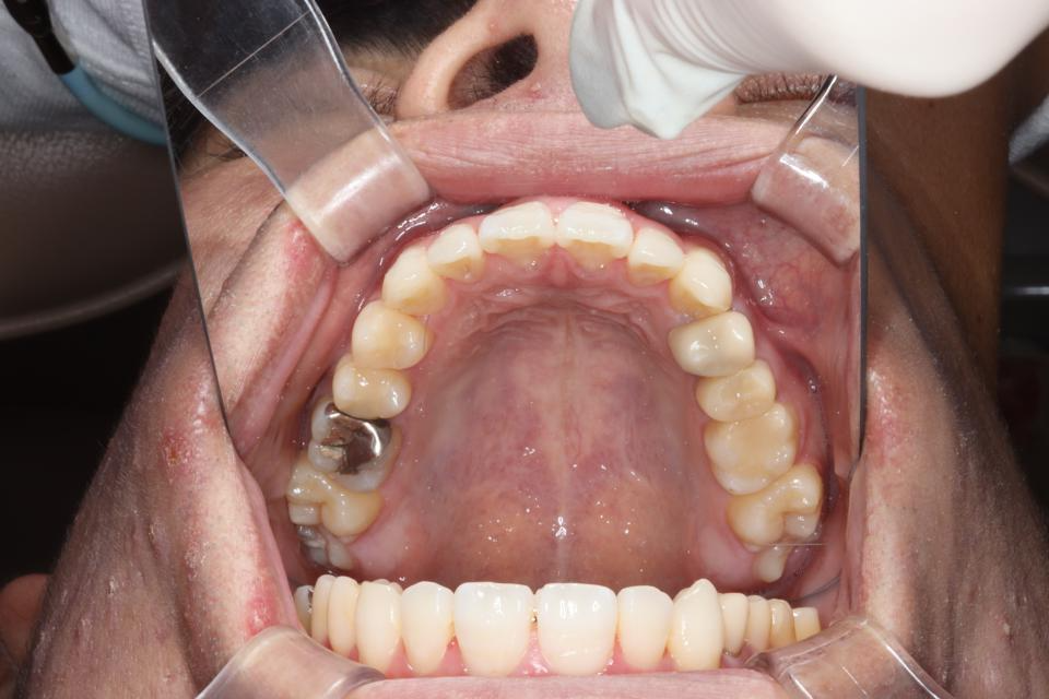
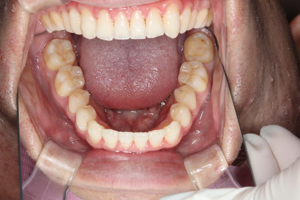
矯正治療後



10代女性の患者さんです。
前歯のがたがたを気にして来院されました。
上下の歯にワイヤー(マルチブラケット装置)をつけて治療しました。
きれいに並びきるために歯のやすりがけ(IPR)も行っています。
歯並びを並べる治療は終わり、取り外しのできる装置をはめることで後戻りの防止をして
定期的にチェックをしています。
| 年齢・性別 | 10代男性 |
|---|---|
| 矯正治療期間 | 2年6か月 |
| 抜歯の有無 | 下左右親知らず |
| 治療費 | 977500円(検査/診断/施術料含む) |
| リスク・注意点 |
歯の移動に伴い痛みを感じる場合がある 治療後保定装置を使わないと後戻りを生じる |
| 備考 |
(707)



