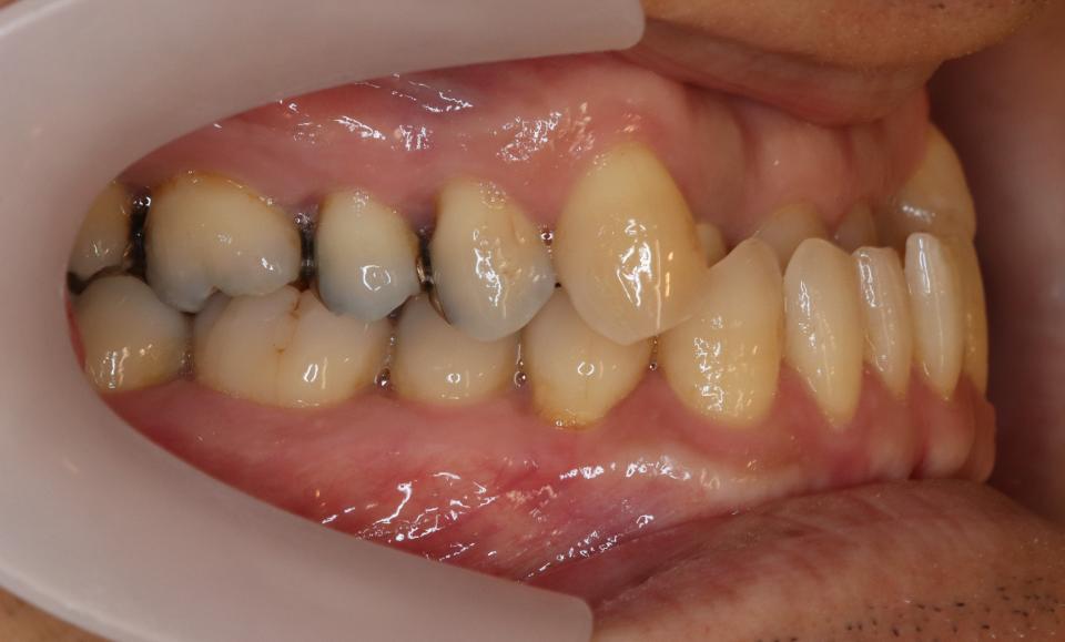
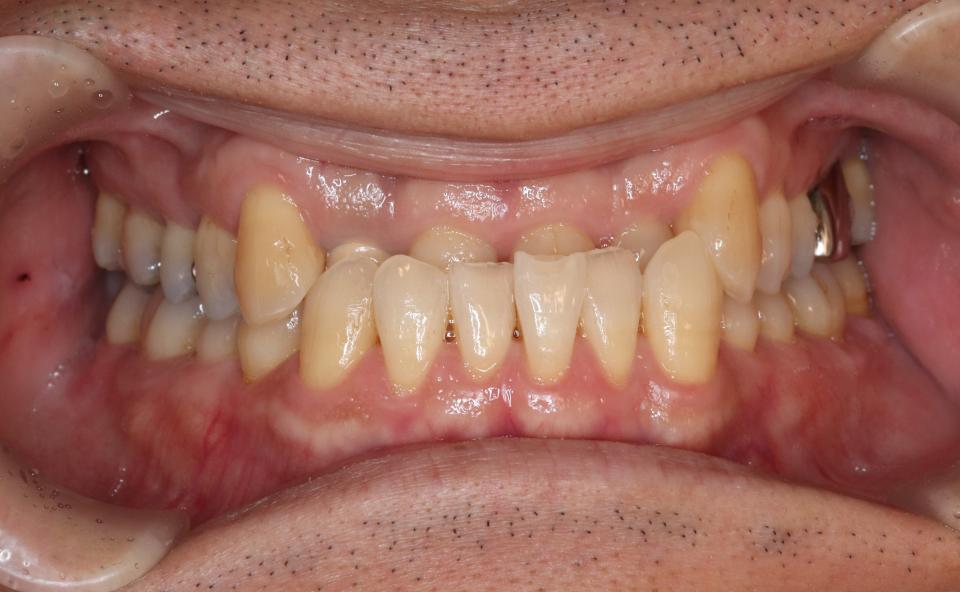
受け口(下顎前突)の矯正治療例
矯正治療前



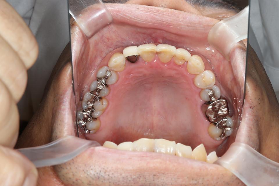
矯正治療後



| 年齢・性別 | 50代男性 |
|---|---|
| 矯正治療期間 | 3年4か月・25回(保定装置装着まで※保定観察を除きます) |
| 抜歯の有無 | なし |
| 治療費 | 1、055,000円(検査/診断/施術料・保定装置代を含む※保定期間中は保定観察料金が別途必要です(3000円/回) ) |
| リスク・注意点 |
歯の移動に伴い痛みを感じる場合がある 治療後保定装置を使わないと後戻りを生じる |
| 備考 |
(483)






| 年齢・性別 | 50代男性 |
|---|---|
| 矯正治療期間 | 3年4か月・25回(保定装置装着まで※保定観察を除きます) |
| 抜歯の有無 | なし |
| 治療費 | 1、055,000円(検査/診断/施術料・保定装置代を含む※保定期間中は保定観察料金が別途必要です(3000円/回) ) |
| リスク・注意点 |
歯の移動に伴い痛みを感じる場合がある 治療後保定装置を使わないと後戻りを生じる |
| 備考 |
(483)