前歯の部分矯正治療(マウスピースによる治療)
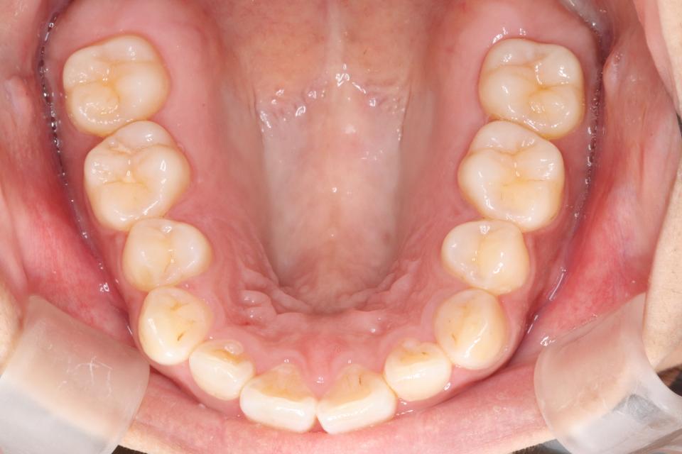
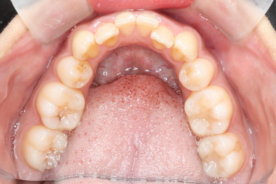
矯正治療前



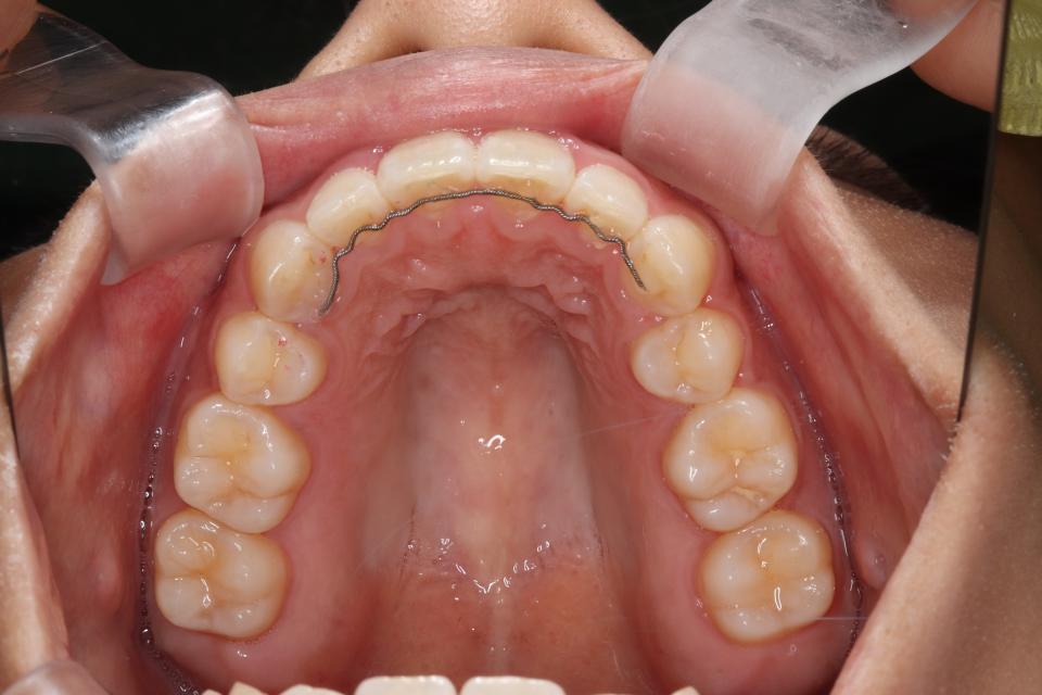
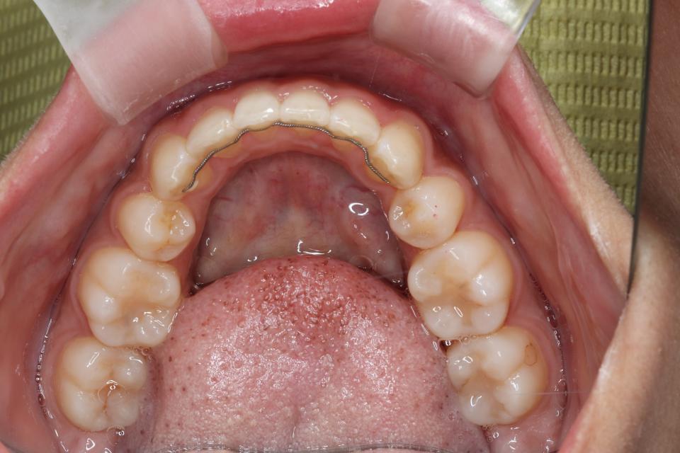
矯正治療後



30代女性の患者さんです。
前歯の歯並びが気になり来院されました。
マウスピース型の矯正治療装置を使用し、前歯の歯並びのみの改善を行いました。
現在は保定装置を使用し定期的にチェックしています。
| 年齢・性別 | 30代女性 |
|---|---|
| 矯正治療期間 | 12か月 |
| 抜歯の有無 | なし |
| 治療費 | 685,000円 |
| リスク・注意点 |
歯の移動に伴い痛みを感じる場合があります。 治療後保定装置を使用しないと歯並びが元に戻る可能性があります。 |
| 備考 |
(372)



