ワイヤー矯正による片顎部分矯正治療
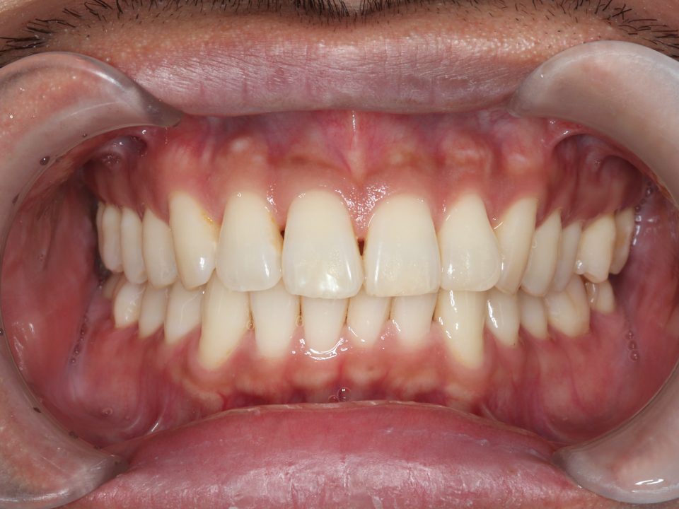
矯正治療前



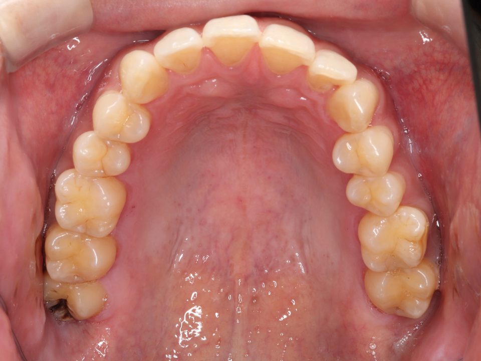
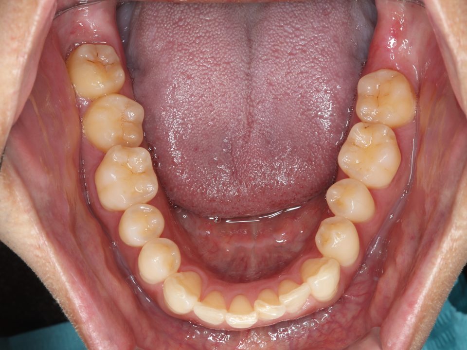
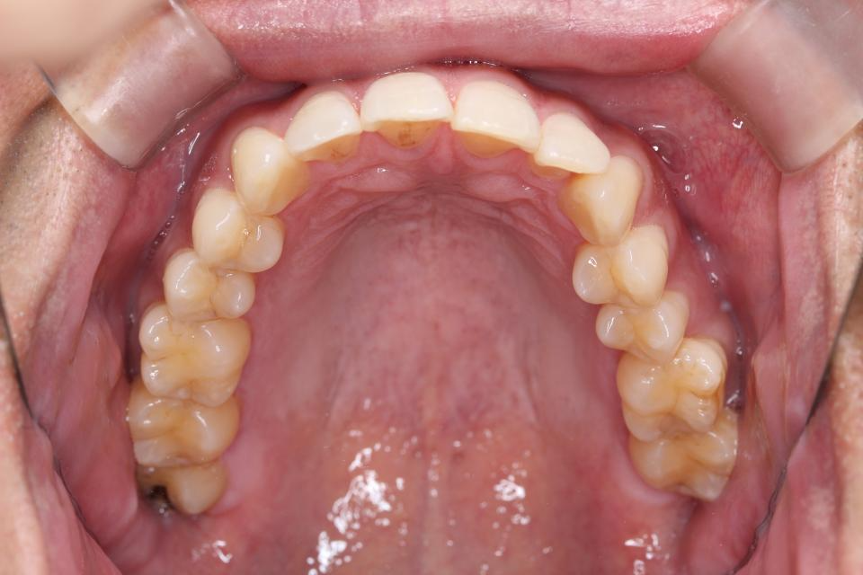
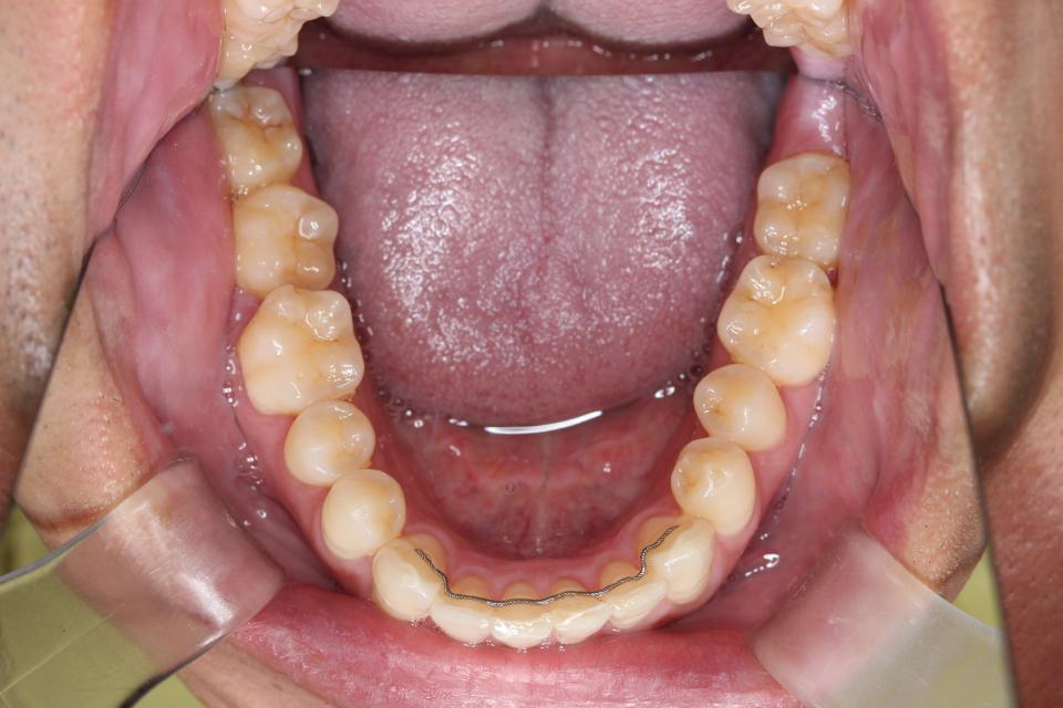
矯正治療後



30代男性の患者さんです。
左下1番が捻じれていることを気にして来院されました。
部分的な矯正治療を希望され、
下の歯にワイヤー(マルチブラケット装置)をつけて治療しました。
歯並びを並べる治療は終わり、
(730)
| 年齢・性別 | 30代男性 |
|---|---|
| 矯正治療期間 | 1年3か月 |
| 抜歯の有無 | なし |
| 治療費 | 335000円 |
| リスク・注意点 |
歯の移動に伴い痛みを感じる場合がある 治療後保定装置を使わないと後戻りを生じる |
| 備考 |






30代男性の患者さんです。
左下1番が捻じれていることを気にして来院されました。
部分的な矯正治療を希望され、
下の歯にワイヤー(マルチブラケット装置)をつけて治療しました。
歯並びを並べる治療は終わり、
(730)
| 年齢・性別 | 30代男性 |
|---|---|
| 矯正治療期間 | 1年3か月 |
| 抜歯の有無 | なし |
| 治療費 | 335000円 |
| リスク・注意点 |
歯の移動に伴い痛みを感じる場合がある 治療後保定装置を使わないと後戻りを生じる |
| 備考 |