マウスピース型矯正装置による部分矯正治療
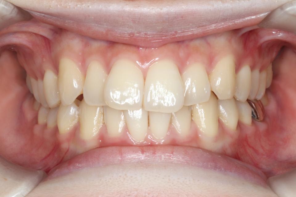
矯正治療前



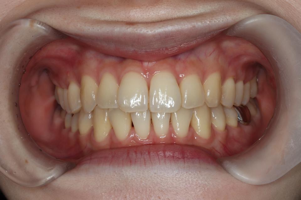
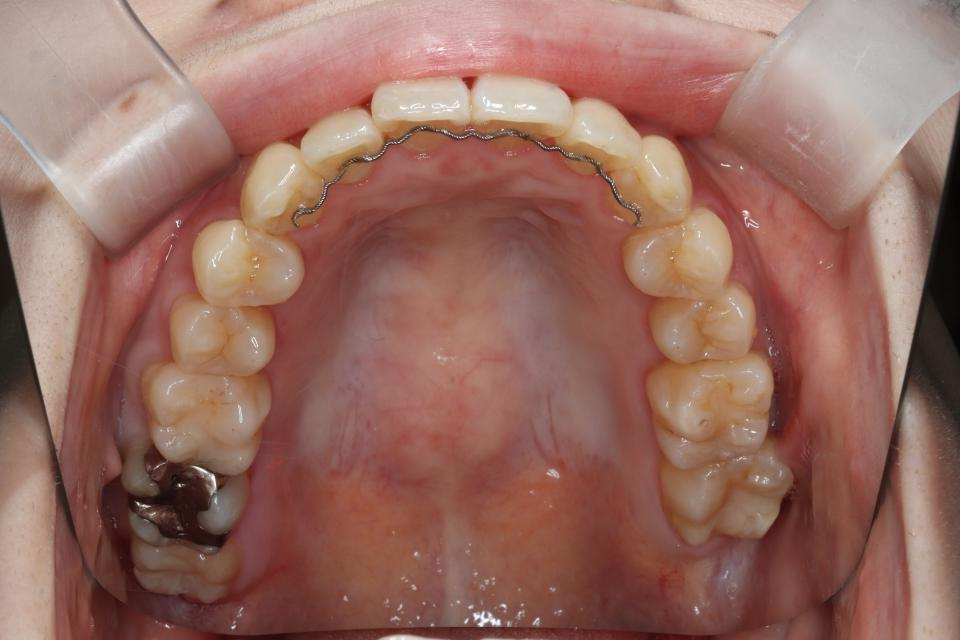
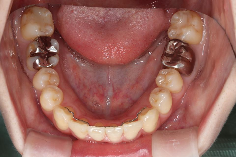
矯正治療後



20代女性です。
上の前歯が2本出ているのが気になると当院に来院されました。
部分的な矯正を希望され、
奥歯の嚙み合わせにも大きな異常はなかったため、
取り外し可能なマウスピース矯正で治療をおこないました。
きれいに並びきるよう歯のやすりがけ(IPR)をしています。
歯を動かす治療は終了し、
現在は上下の前歯の裏側に後戻り防止の針金(FIX)を貼り、
定期的なチェックをしています。
| 年齢・性別 | 20代女性 |
|---|---|
| 矯正治療期間 | 7か月・7回(保定装置装着まで※保定観察を除きます) |
| 抜歯の有無 | なし |
| 治療費 | 670000円(検査/診断/施術料・保定装置代を含む※保定期間中は保定観察料金が別途必要です(3000円/回) ) |
| リスク・注意点 |
歯の移動に伴い痛みを感じる場合がある 治療後保定装置を使わないと後戻りを生じる |
| 備考 |
(260)



