がたがた(叢生)の部分的なマウスピース矯正治療例
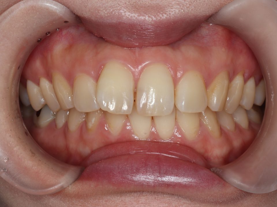
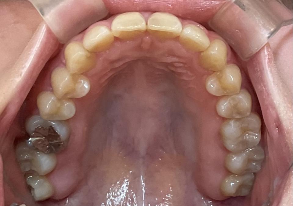
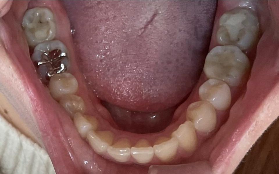
矯正治療前



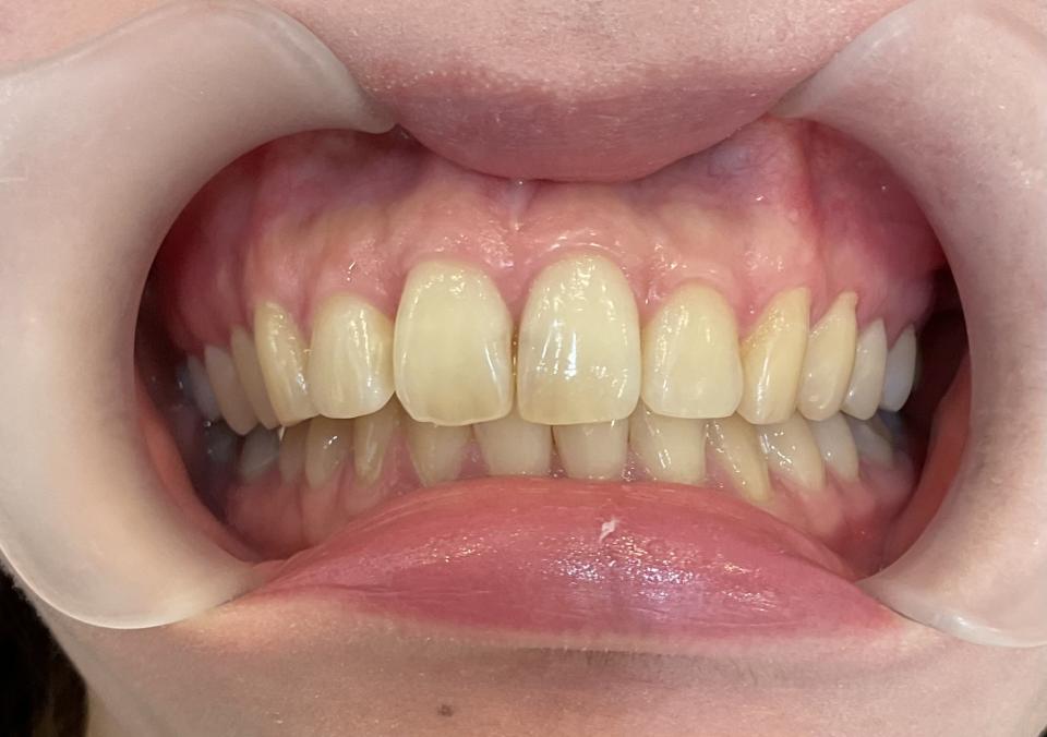
矯正治療後



20代女性の患者さんです。
右上前歯の捻じれと隙間を気にして来院されました。
部分的な矯正治療を希望され、
マウスピース型の矯正治療装置を使用し、歯のやすり掛け(IPR)を行いました。
現在はマウスピース型のリテーナーで後戻りの防止をして定期的にチェックをしています。
| 年齢・性別 | 20代女性 |
|---|---|
| 矯正治療期間 | 7か月 |
| 抜歯の有無 | なし |
| 治療費 | 300000円(検査/診断/施術料含む) |
| リスク・注意点 |
歯の移動に伴い痛みを感じる場合がある 治療後保定装置を使わないと後戻りを生じる |
| 備考 |
(722)



