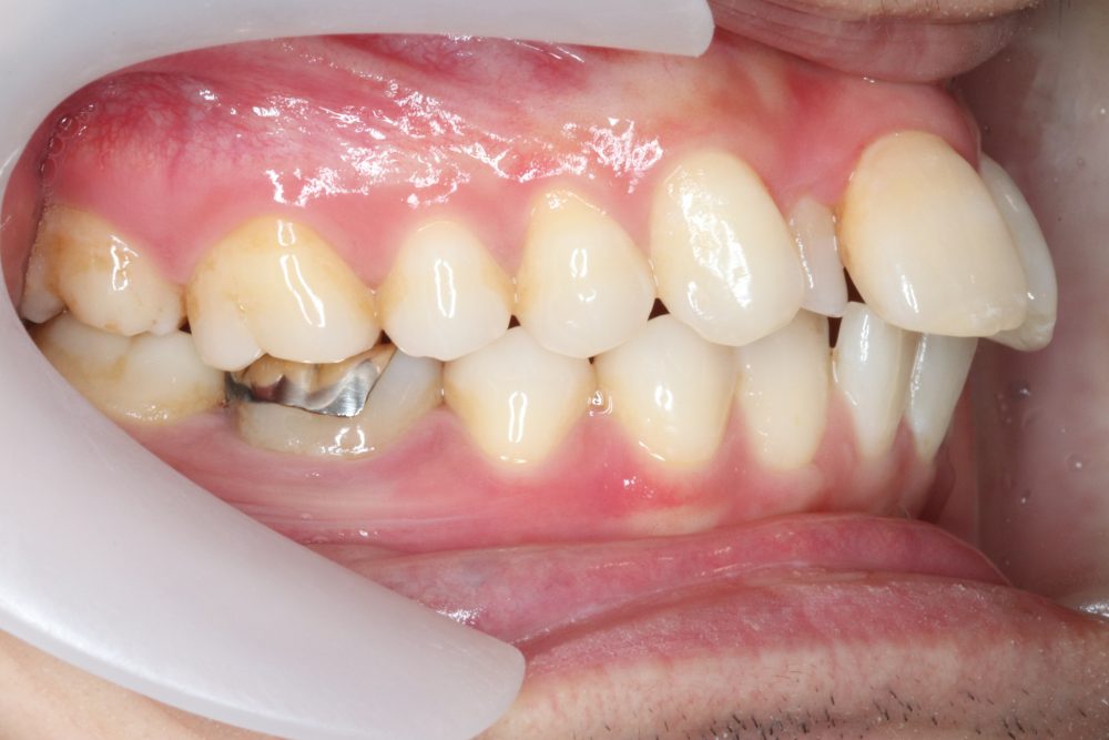
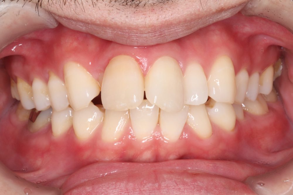
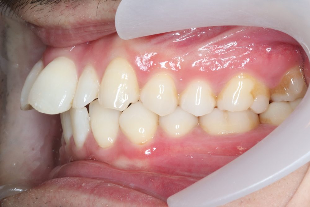
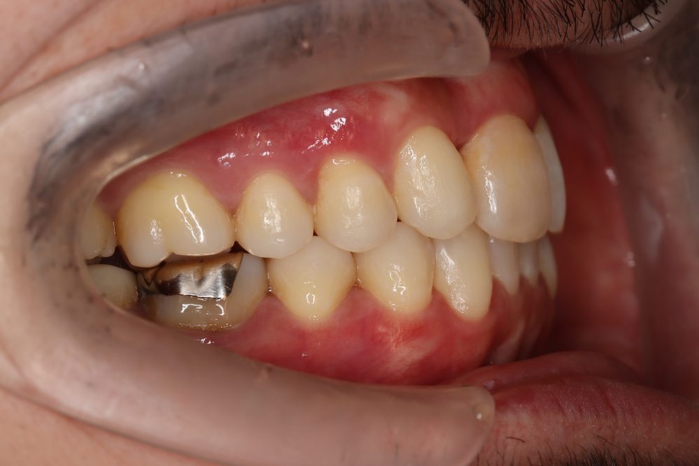
上顎前突、叢生の治療症例
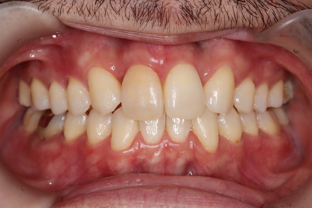
矯正治療前



矯正治療後



|
年齢・性別 |
20代男性 |
|---|---|
| 矯正治療期間 | 3年7か月 |
| 抜歯の有無 | 2⏊2 |
| 治療費 | 1,050,000円 |
| リスク・注意点 | 保定装置を使用しないと後戻りをする可能性があります。 |
| 備考 |
20代の男性です。
前歯が出ていることを気にされて来院されました。
検査・診断の結果、歯の大きさが小さめのため両側とも上の2番目の歯をぬいてインビザラインにて治療を行いました。
歯並びのデコボコや出っ歯はきれいになおり
現在は保定装置を装着し経過を見ています。






|
年齢・性別 |
20代男性 |
|---|---|
| 矯正治療期間 | 3年7か月 |
| 抜歯の有無 | 2⏊2 |
| 治療費 | 1,050,000円 |
| リスク・注意点 | 保定装置を使用しないと後戻りをする可能性があります。 |
| 備考 |
20代の男性です。
前歯が出ていることを気にされて来院されました。
検査・診断の結果、歯の大きさが小さめのため両側とも上の2番目の歯をぬいてインビザラインにて治療を行いました。
歯並びのデコボコや出っ歯はきれいになおり
現在は保定装置を装着し経過を見ています。