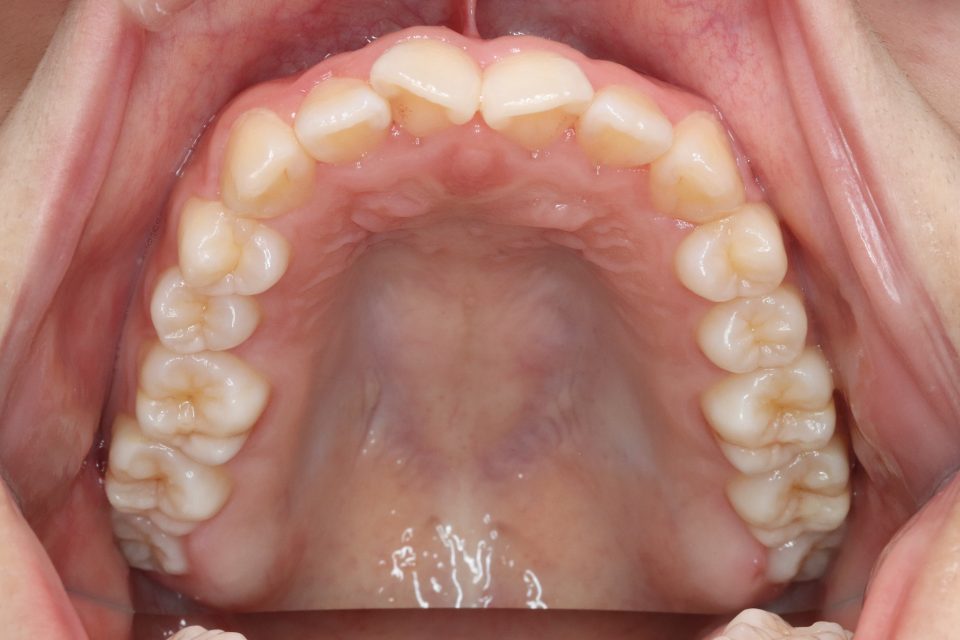
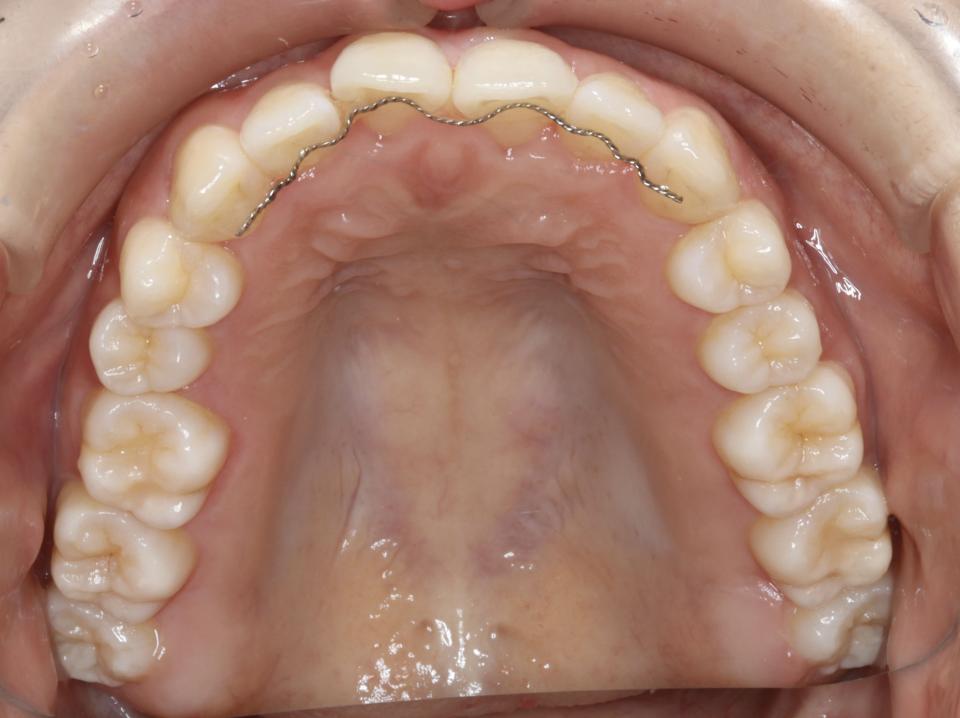
がたがた(叢生)の上のみのマウスピース矯正治療例
矯正治療前



矯正治療後



10代女性の患者さんです。
上の前歯の捻じれが気になり矯正治療を始めました。
上のみマウスピース型の矯正治療装置を使用し、歯のやすり掛け(IPR)を行いました。
現在は前歯の裏側にワイヤーをつけて定期的にチェックをしています。
| 年齢・性別 | 10代女性 |
|---|---|
| 矯正治療期間 | 1年4か月 |
| 抜歯の有無 | なし |
| 治療費 | 535000円(検査/診断/治療費含む) |
| リスク・注意点 |
歯の移動に伴い痛みを感じる場合がある 治療後保定装置を使わないと後戻りを生じる |
| 備考 |
(532)



