がたがた(叢生)のワイヤー矯正治療例(抜歯あり)
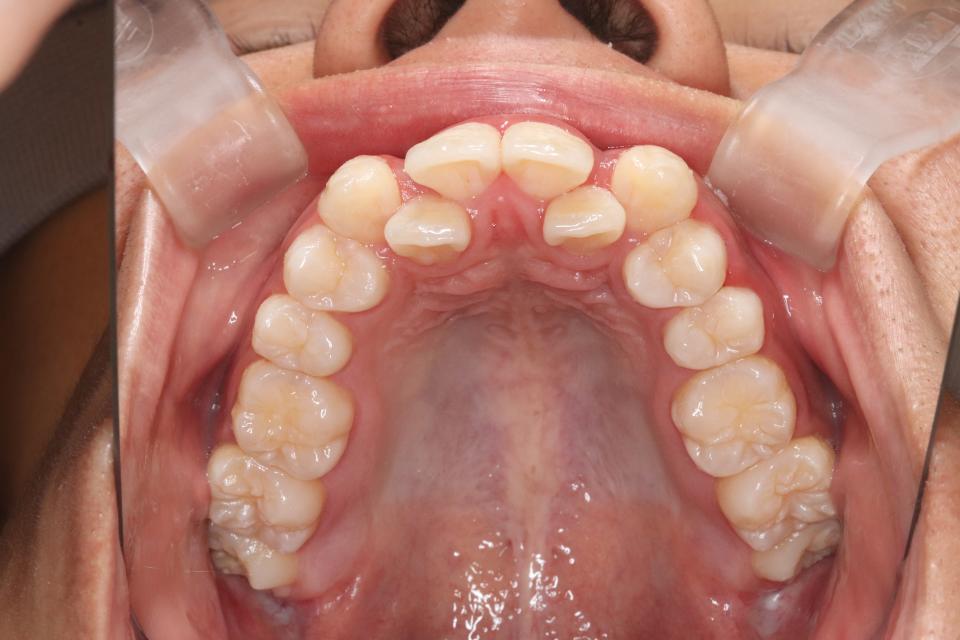
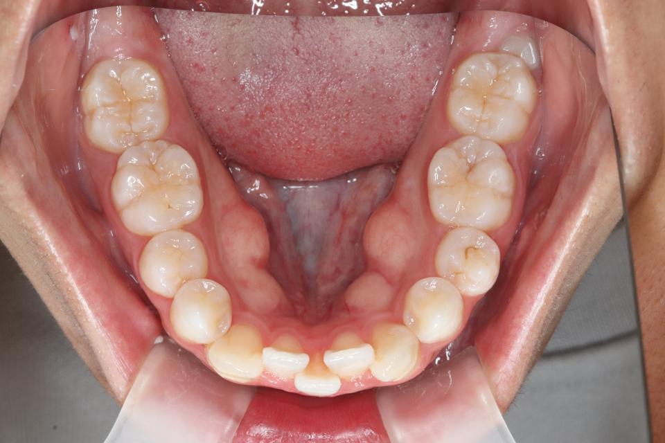
矯正治療前



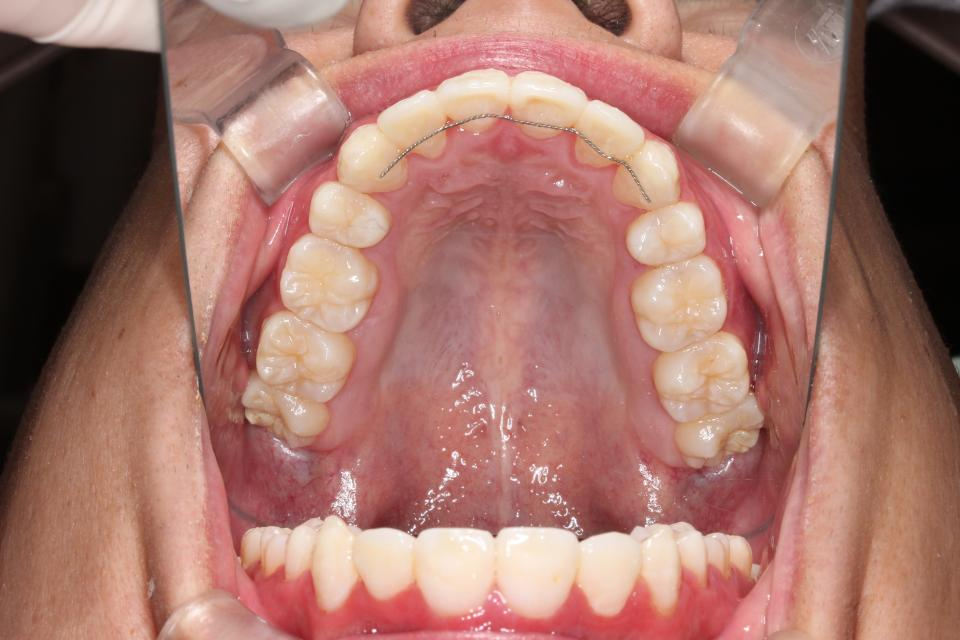
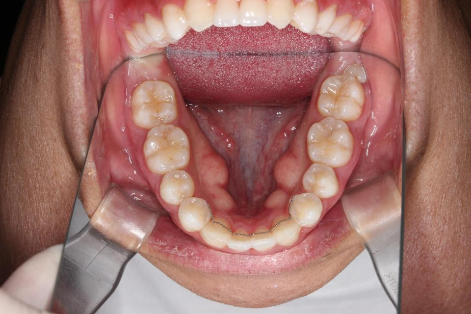
矯正治療後



20代男性の患者さんです。
歯の凸凹と、上下の真ん中がズレているを気にして来院されました。
上左右4番と右下1番を抜歯して上下の歯にワイヤー(マルチブラケット装置)をつけて治療しました。
きれいに並びきるために歯のやすりがけ(IPR)も行っています。
歯並びを並べる治療は終わり、現在は前歯の裏側にワイヤーをつけ、それと同時に
取り外しのできる装置をはめることで後戻りの防止をして、定期的にチェックをしています。
| 年齢・性別 | 20代男性 |
|---|---|
| 矯正治療期間 | 2年5か月 |
| 抜歯の有無 | 上左右4番、右下1番 |
| 治療費 | 1005000円(検査/診断/施術料) |
| リスク・注意点 |
歯の移動に伴い痛みを感じる場合がある 治療後保定装置を使わないと後戻りを生じる |
| 備考 |
(541)



