前歯部の部分的なマウスピース矯正治療
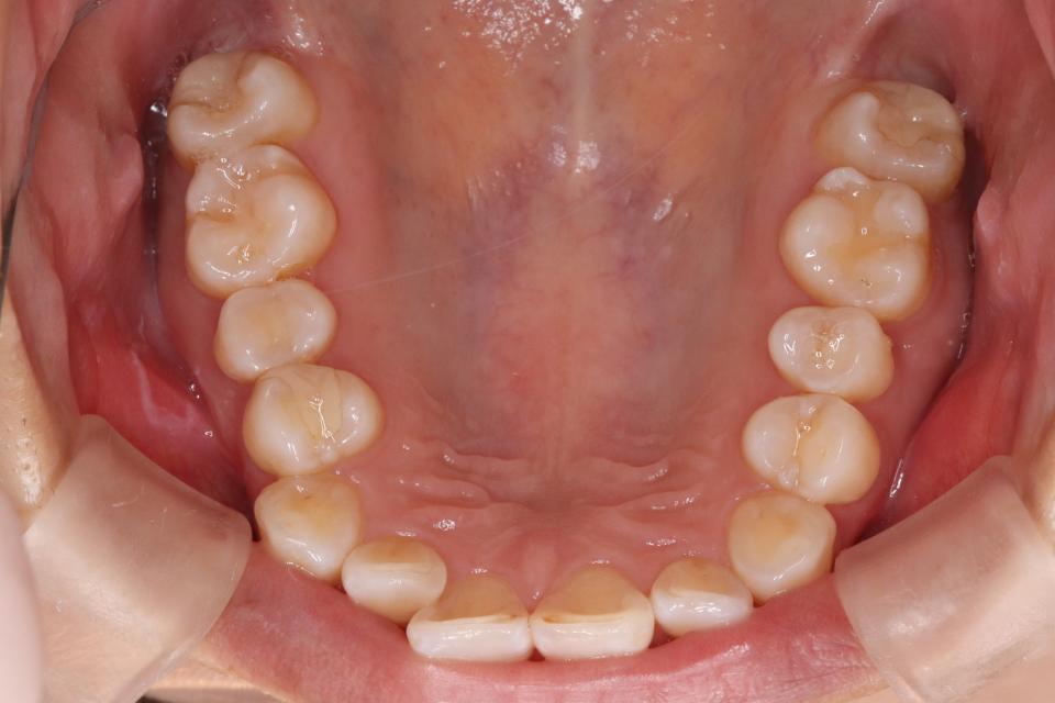
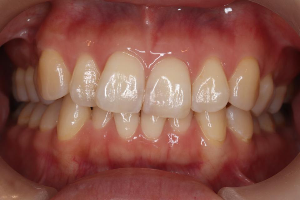
矯正治療前



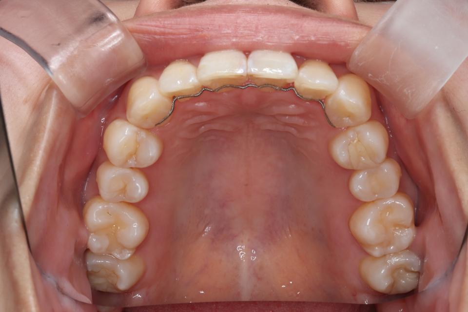
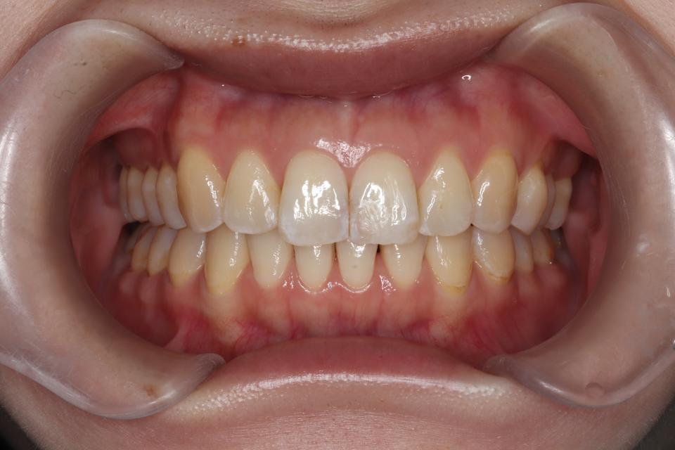
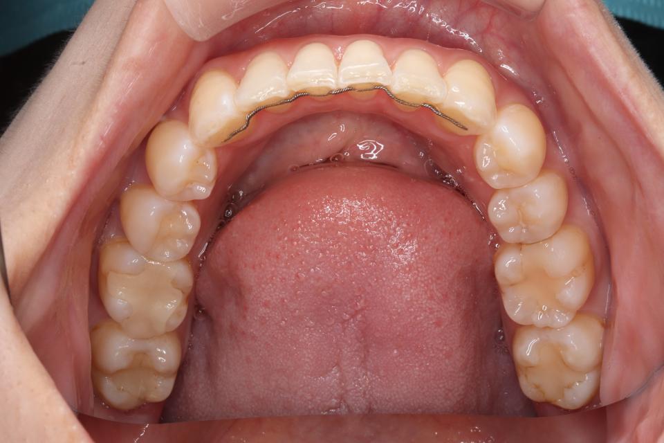
矯正治療後



前歯部の歯並びを気にされて来院されました。
奥bのかみ合わせにも大きな問題はなくマウスピースを用いて上下の前歯のみ治療しました。
部分的な治療のため前歯の真ん中がそろっていませんがきれいな歯並びとなりました。
現在は保定装置を使用し定期的に観察しています。
| 年齢・性別 | 30代女性 |
|---|---|
| 矯正治療期間 | 1年6ヶ月 |
| 抜歯の有無 | なし |
| 治療費 | 683,000円 |
| リスク・注意点 |
歯の動きに伴い痛みを生じることがあります。 治療後適切に保定装置を使用しないと歯並びが元に戻ってしまう可能性があります。 |
| 備考 |
(384)



