がたがた(叢生)の部分的なワイヤー矯正治療例
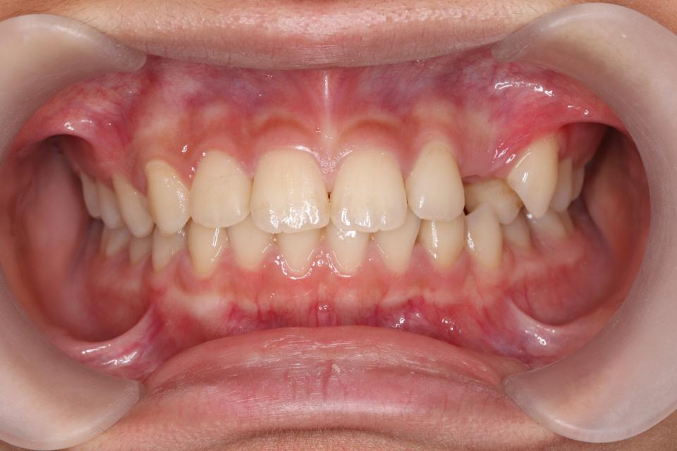
矯正治療前



矯正治療後



10代女性の患者さんです。
歯が1本ズレて生えていることを気にして来院されました。
上の歯に部分的にワイヤー(マルチブラケット装置)をつけて治療しました。
きれいに並びきるために歯のやすりがけ(IPR)も行っています。
歯並びを並べる治療は終わり、現在は前歯の裏側にワイヤーをつけることで後戻りの防止をして、定期的にチェックをしています。
| 年齢・性別 | 10代女性 |
|---|---|
| 矯正治療期間 | 2年7か月 |
| 抜歯の有無 | なし |
| 治療費 | 435000円(検査/診断/施術料) |
| リスク・注意点 |
歯の移動に伴い痛みを感じる場合がある 治療後保定装置を使わないと後戻りを生じる |
| 備考 |
(618)



