がたがた(叢生)の治療例
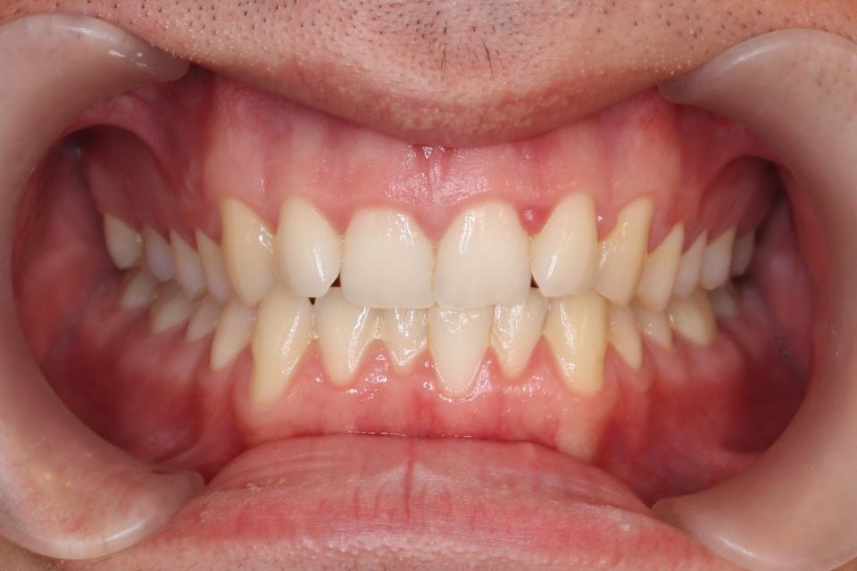
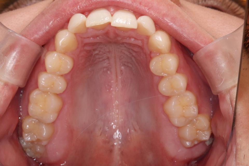
矯正治療前



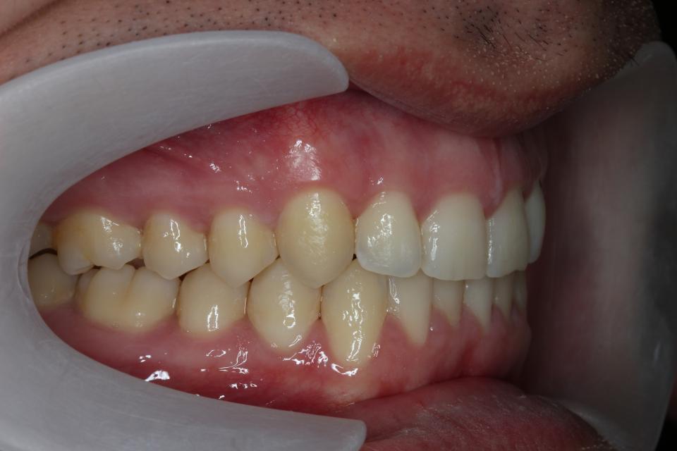
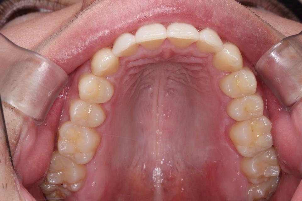
矯正治療後



上下顎前歯部のガタガタが気になると来院されました。
奥歯のかみ合わせも皆瀬するため上下マウスピース治療を行いました。
現在は保定装置を使用いただき定期的にチェックを行っています。
| 年齢・性別 | 20代男性 |
|---|---|
| 矯正治療期間 | 1年10か月 |
| 抜歯の有無 | なし |
| 治療費 | 1,005,000円 |
| リスク・注意点 |
歯の移動に伴い痛みが生じることがあります 保定装置を適切に使用しないと歯並びが元の状態に戻ってしまうことがあります |
| 備考 |
(462)






上下顎前歯部のガタガタが気になると来院されました。
奥歯のかみ合わせも皆瀬するため上下マウスピース治療を行いました。
現在は保定装置を使用いただき定期的にチェックを行っています。
| 年齢・性別 | 20代男性 |
|---|---|
| 矯正治療期間 | 1年10か月 |
| 抜歯の有無 | なし |
| 治療費 | 1,005,000円 |
| リスク・注意点 |
歯の移動に伴い痛みが生じることがあります 保定装置を適切に使用しないと歯並びが元の状態に戻ってしまうことがあります |
| 備考 |
(462)