叢生(がたがた)のマウスピース型矯正治療例(抜歯)
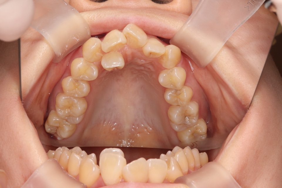
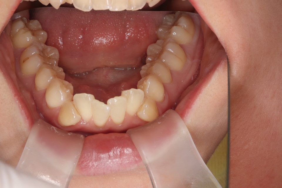
矯正治療前



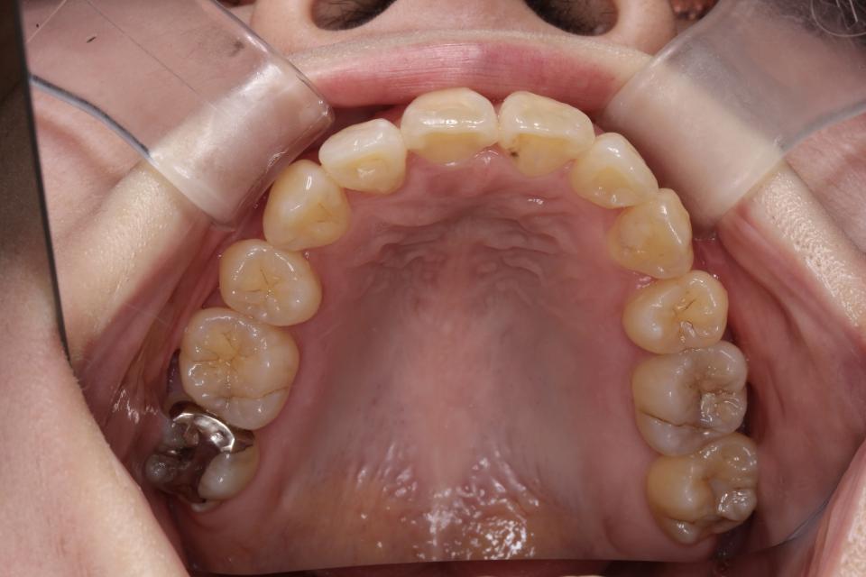
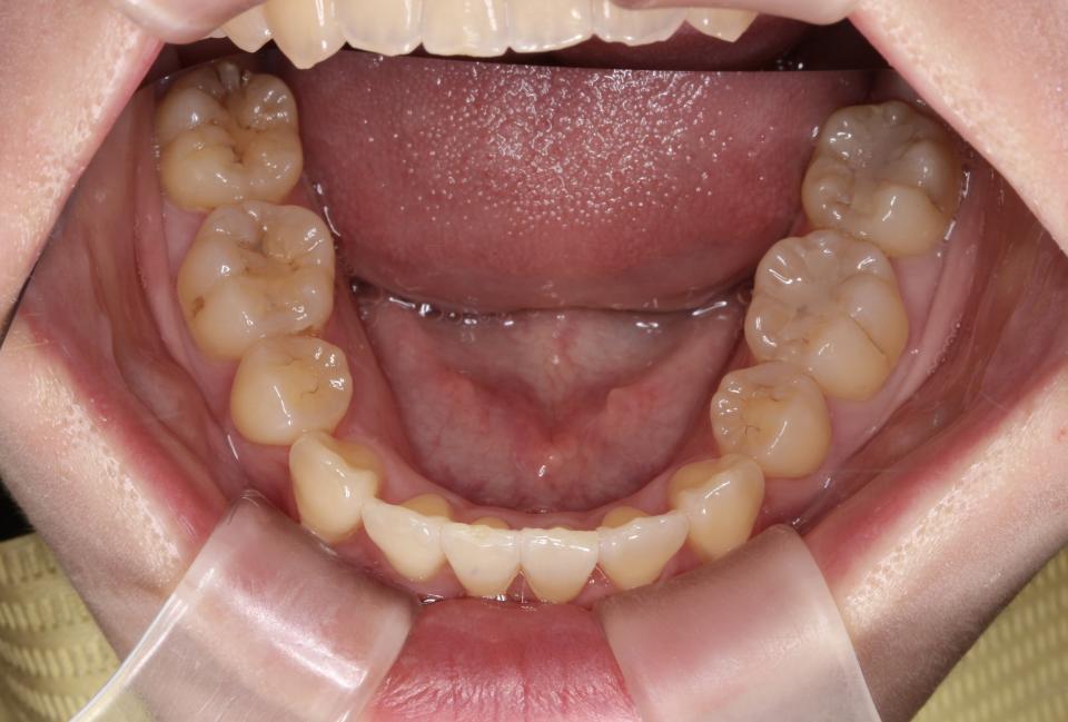
矯正治療後



20代女性の患者さんです。
上の前歯のガタガタと上下の正中のズレが気になり矯正治療を始めました。
上下左右4番目の歯を抜歯して、マウスピース型の矯正治療装置を使用し、歯のやすり掛け(IPR)を行いました。
| 年齢・性別 | 20代女性 |
|---|---|
| 矯正治療期間 | 2年4か月 |
| 抜歯の有無 | 上下左右4番抜歯 |
| 治療費 | 1005000円 |
| リスク・注意点 |
歯の移動に伴い痛みを感じる場合がある 治療後保定装置を使わないと後戻りを生じる |
| 備考 |
(582)



