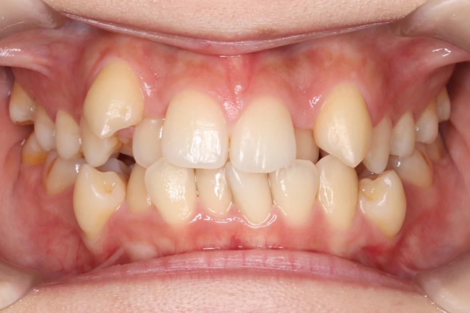
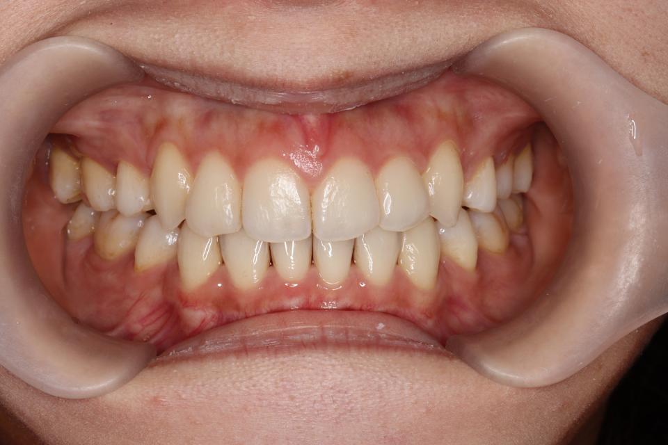
がたがた(叢生)のマウスピース矯正治療例(抜歯あり)
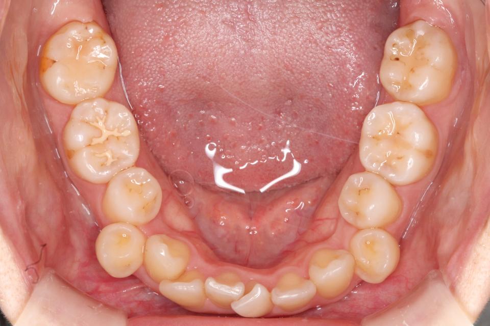
矯正治療前



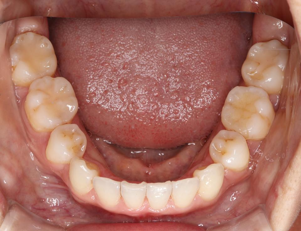
矯正治療後



20代女性の患者さんです。
八重歯や歯並びのガタガタが気になり矯正治療を始めました。
上下左右4番目の歯を抜いて、マウスピース型の矯正治療装置を使用し、歯のやすり掛け(IPR)を行いました。
現在はマウスピース型のリテーナーで後戻りの防止をして定期的にチェックをしています。
| 年齢・性別 | 20代女性 |
|---|---|
| 矯正治療期間 | 4年6か月 |
| 抜歯の有無 | 上下左右4番、右上7番抜歯 |
| 治療費 | 1100000円 |
| リスク・注意点 |
歯の移動に伴い痛みを感じる場合がある 治療後保定装置を使わないと後戻りを生じる |
| 備考 |
(349)



