上顎前突(出っ歯)のマウスピース型矯正治療例
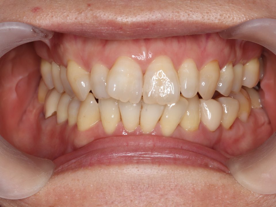
矯正治療前



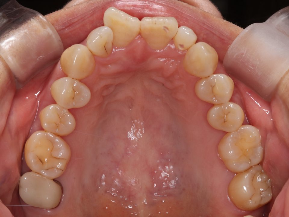
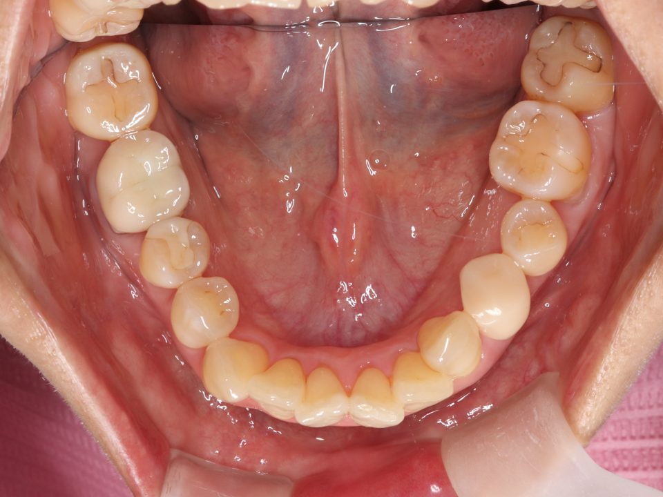
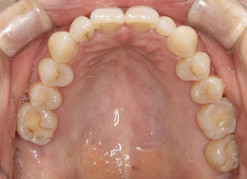
矯正治療後



40代女性の患者さんです。
上の前歯が曲がっていることが気になり矯正治療を始めました。
マウスピース型の矯正治療装置を使用し、歯のやすり掛け(IPR)を行いました。
現在はマウスピース型のリテーナーでで後戻りの防止をして定期的にチェックをしています。
| 年齢・性別 | 40代女性 |
|---|---|
| 矯正治療期間 | 2年9か月 |
| 抜歯の有無 | なし |
| 治療費 | 1,005,000円(検査/診断/施術料) |
| リスク・注意点 |
歯の移動に伴い痛みを感じる場合がある 治療後保定装置を使わないと後戻りを生じる
|
| 備考 |
(693)



