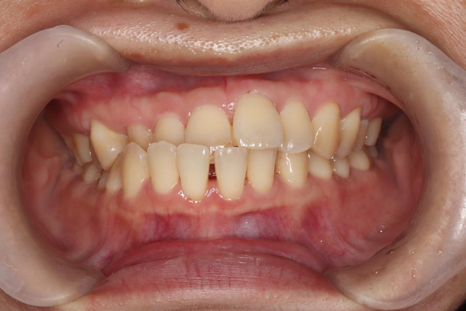
反対咬合(受け口)のマウスピース型矯正治療例
矯正治療前



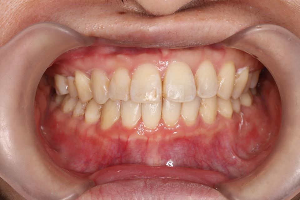
矯正治療後



30代女性の患者さんです。
受け口とすきっぱが気になり矯正治療を始めました。
マウスピース型の矯正治療装置を使用し、歯のやすり掛け(IPR)を行いました。
現在はマウスピース型のリテーナーで後戻りの防止をして定期的にチェックをしています。
| 年齢・性別 | 30代女性 |
|---|---|
| 矯正治療期間 | 1年8か月 |
| 抜歯の有無 | なし |
| 治療費 |
1,005,000円(検査/診断/施術料) |
| リスク・注意点 |
歯の移動に伴い痛みを感じる場合がある 治療後保定装置を使わないと後戻りを生じる |
| 備考 |
(770)



