ワイヤー矯正による部分矯正
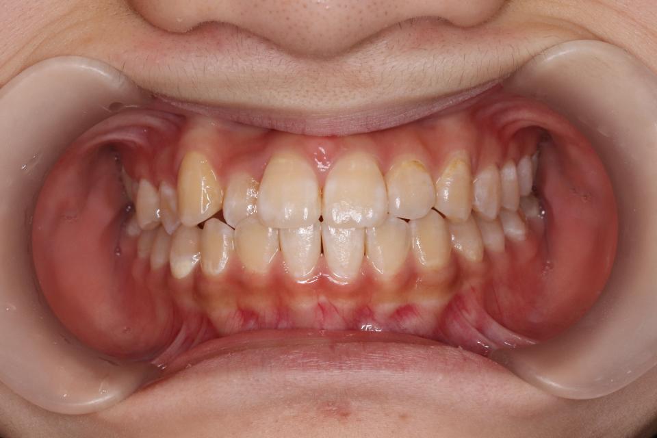
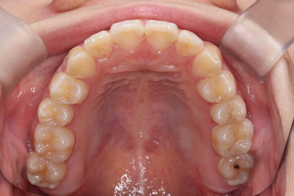
矯正治療前



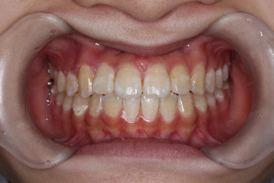
矯正治療後



10代女性の患者さんです。
上左右2番目の歯が内側に入っていることを気にして来院されました。
部分的な矯正治療を希望され、
上下の歯にワイヤー(マルチブラケット装置)をつけて治療しました。
歯並びを並べる治療は終わり、
(575)
| 年齢・性別 | 10代女性 |
|---|---|
| 矯正治療期間 | 1年2か月 |
| 抜歯の有無 | なし |
| 治療費 | 50万円 |
| リスク・注意点 |
歯の移動に伴い痛みを感じる場合がある 治療後保定装置を使わないと後戻りを生じる |
| 備考 |






10代女性の患者さんです。
上左右2番目の歯が内側に入っていることを気にして来院されました。
部分的な矯正治療を希望され、
上下の歯にワイヤー(マルチブラケット装置)をつけて治療しました。
歯並びを並べる治療は終わり、
(575)
| 年齢・性別 | 10代女性 |
|---|---|
| 矯正治療期間 | 1年2か月 |
| 抜歯の有無 | なし |
| 治療費 | 50万円 |
| リスク・注意点 |
歯の移動に伴い痛みを感じる場合がある 治療後保定装置を使わないと後戻りを生じる |
| 備考 |